Crowns on the front teeth - should they be installed or not?

Chief editor of the site:

Snitkovsky Arkady Alexandrovich

Chief physician of the professorial dentistry “22 Century”, dentist, orthopedic dentist

Author of the article:

Scientific team of dentistry “22 Century”

Dentists, candidates and doctors of medical sciences, professors


Dental bridge for chewing teeth

If one or several chewing teeth are missing in a row, a dental bridge can be installed instead. You just need to choose the right fastening method and material for artificial crowns - a good specialist will help with this.

Premolars and molars are mainly responsible for the function of chewing and thoroughly crushing food. They take on a significantly greater load than the front incisors. But due to their distant location in the rows and some anatomical features, they are more difficult to clean. Therefore, it is the chewing elements that are usually the first to begin to hurt and collapse.

If 1-3 teeth located in a row are missing, they can be replaced with an orthopedic design - a bridge .

Indications and contraindications for installation

If any troubles arise in the dentition, especially in the front part, people try to eliminate the problem as quickly as possible. The incisors are located directly in the center, have a flat shape and cutting edges. Ceramic crowns are installed on the front teeth in the following cases:

  • absence of one or more incisors;
  • with increased abrasion of tooth enamel;
  • with necrotic changes in the pulp;
  • in case of hypoplasia;
  • for cosmetic purposes when teeth are stained with tetracycline, since it cannot be whitened.

This type of prosthetics has no contraindications. The installation can be carried out even with various dental pathologies; in this case, the devices will help eliminate a number of other existing defects.

As for restrictions, pregnant women should refuse prosthetics, especially in the first and third trimesters. It is best to carry out such procedures in the middle of pregnancy.

Content

  • Types of crowns for front teeth
  • Alternatives
  • Prosthetics of anterior teeth

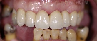
If you are not satisfied with the aesthetics of your front teeth, or they have functional defects - chips, cracks, deep scratches, there is reason to think about how to solve the problem as efficiently and reliably as possible in the long term.

The first thing that comes to patients’ minds is the installation of crowns. But is it worth putting crowns to correct the front teeth, and what alternatives to this method exist in modern dentistry - you can find out on our website or directly at an appointment with an orthopedist at Amazing Price Dentistry.

Choosing a crown for anterior teeth

Dentures can be made with or without metal. Materials such as gold and platinum are rarely used due to their low aesthetics, although such a frame is more durable and has a longer service life than others.

To understand which crown is best to place on the front tooth, it is worth considering the characteristics of each material. Modern dentistry offers several options: metal-ceramics, zirconium dioxide and simply ceramics.

Metal-ceramic crowns

This material is used more often than all others and is what dentists recommend. This is due to the fact that metal-ceramics simultaneously combines such qualities as functionality, aesthetics and low cost. The average service life of such products with proper care is about 10-15 years.

The structure looks like a metal frame about 0.5 millimeters thick, which is covered with several layers of ceramics. After this, the prosthesis undergoes a firing procedure in a special oven at a very high temperature. All these manipulations make the crown strong and solid. The base can be gold or made from an alloy of cobalt and chromium.

The main disadvantages of metal-ceramics are as follows:

  • during installation, deep turning is required, the nerve is removed (depulpation is performed);
  • the crown can negatively affect neighboring tissues;
  • the edge of the gums often stands out, and this reduces aesthetic indicators;
  • In bright light, you can distinguish the prosthesis from real teeth. This is due to the fact that the material is not transparent.

In addition, with prolonged use, the gums acquire an unsightly bluish color and recede. This usually happens after 3-5 years of use. As a result, a dark strip may appear at the neck under the gum - this exposes the denture. Such changes occur due to contact of metal with tissue. Basically, these factors do not affect the chewing function, but for the frontal zone this problem is significant.

If the patient has an allergic reaction to metal objects, then it is best to install a design on a shoulder base, which will help avoid unpleasant consequences. Such dentures are completely covered with a ceramic mixture, so soft tissues will not come into contact with the metal. But it is worth noting that the cost of such products will be much higher.


Ceramic shoulder

Metal-plastic

As reviews show, plastic crowns for the front teeth are not so popular. This is due to the fact that the structure has low strength. In this regard, the products are made with rather thick walls, which means that the tooth has to be sharply ground. In addition, the material itself is considered allergenic, and various microorganisms penetrate through the porous structure of the prosthesis, which often causes inflammatory processes under the crown.

As for aesthetics, the products are very similar to real teeth, although opaque. Basically, nylon or acrylic is used for their manufacture. But such devices have a service life of no more than 5 years, as they quickly lose their color. In addition, after a short period of time, chips and microcracks are observed on them.

Most often they are used for prostheses that are installed on implants. The advantages of plastic fixtures are low cost, speed of manufacture and installation. This crown can be installed in one visit to the dental clinic.

Zirconium dioxide

This material is the most technologically advanced of all presented. Zirconium prostheses are very durable and reliable, they are hypoallergenic and of high quality, which is especially appreciated by patients. The only drawback of such products is their high cost.

Typically, such structures are installed in the form of a single crown. To make it more durable and beautiful, it is better to make a prosthesis on a zirconium frame on which ceramics are applied. In this case, the metal base will not show through, which means your smile will look snow-white and natural.

Zirconium crowns are made using computer modeling. At the very beginning, the frame of the structure is projected, porcelain layers are applied to it, which give the prosthesis a natural look. Modern materials allow you to choose almost any shade that will be as close as possible to the color of the patient’s teeth.

All-ceramic

Crowns made from ceramics are also popular, although they are quite expensive. They are suitable exclusively for front teeth, since they are quite fragile and are unable to cope with the chewing function.

The advantages of such a prosthesis include:

  • long service life and reliability, after ten years of operation the aesthetic characteristics will not deteriorate;
  • even in bright light it will be impossible to distinguish artificial incisors from real ones;
  • installation of ceramic dentures does not worsen the condition of the gums and oral cavity.

But it’s worth noting right away that such material is used only if it is necessary to replace one tooth. Bridges cannot be made from ceramics. In addition, only ceramic or fiberglass pins can be used for inlays. Metal elements are not suitable, as they will be visible through the transparent ceramic layer.

How to remove temporary crowns

The crown removal procedure must be performed in a doctor's office using special dental equipment to safely remove the denture and preserve the ground tooth. You can remove the damaged crown yourself if necessary. Over time, the cement on which the temporary prosthesis is attached loosens, allowing the crown to be removed quickly and easily. If the crown has slipped or shifted (this rarely happens) and it is impossible to remove the prosthesis completely on your own, then consult a doctor to return the structure to the tooth.

Preparation and installation

Prosthetics begins with a complete diagnosis of the oral cavity. Only after this is a plan of action selected and the material from which the denture will be made is determined. If necessary, treatment is prescribed to eliminate caries or other dental diseases. Then the specialist performs the following actions:

  • Drills the tooth, removes the nerve, cleans and fills the canal;
  • Checks the condition of seals;
  • Installs a pin or stump inlay in pulpless teeth.

Such manipulations must be performed under X-ray control. In some situations, the incisor cannot be cured, so it is removed, then the patient requires two weeks of rehabilitation so that the gums can heal.

Many patients are afraid of dentures because of the pain, and they often cannot decide which crowns to put on their front teeth. But in fact, the procedure is absolutely painless, as it is performed under local anesthesia, and an orthopedic dentist will help you choose the ideal material.

Before installing the prosthesis, it is necessary to slightly grind the teeth and, if necessary, fill them. At the same time, the nerves are removed. If this is not done, the pulp will be damaged during grinding, and this may cause an inflammatory process under the crown. The specialist then takes the impression and sends it to the laboratory, where a technician will make the necessary product.

If teeth are missing, an implant is inserted, after which it should take root. This will take about three months. Only after this the crowns are placed. During this period, plastic crowns can be installed so that the person leads a normal life and feels comfortable.

Once the prosthesis is ready, the patient is invited to try it on. If necessary, the product is adjusted, and then it is fixed first with temporary cement, and a month later with permanent cement.

Patient reviews

Dental problems started during pregnancy. Then there was a period of lactation, at the end of which I was left without two front teeth. At the clinic, an orthopedic dentist recommended making a metal-ceramic prosthesis. It didn’t suit me at all, they adjusted it four times, but to no avail. Then they replaced it with zirconium crowns. I've been using them successfully for three years now. I am no longer ashamed of my smile, but, on the contrary, proud of it.

Natalya, 34 years old

After caries treatment, I was left without one front tooth. The situation for a person who works with people is not the most pleasant. In my case, there was no doubt; I immediately chose prosthetics with zirconium crowns. In my opinion, this prosthesis is the most successful, although not cheap. Adaptation went quickly, no discomfort arose, and the smile remained the same; outwardly, the artificial incisor cannot be distinguished from the real one. I believe that only zirconium is suitable for restoring front teeth.

Alexander Sergeevich, 42 years old

Several years ago I had metal-ceramic crowns installed.
I was very pleased with the prosthesis, nothing interferes, my teeth are still in excellent condition. Many people were afraid that my gums would turn blue, but nothing like that happened in my case. I eat whatever I want, even hard apples, but no chips have arisen during this time. So I recommend this option to everyone I know. Angelina

Alternatives to crown prosthetics

  • Prosthetics on implants

If there is no tooth, then it will not be possible to install a regular crown. Then you can use implantation technologies and, without grinding down adjacent teeth, restore the defect by installing an implant followed by prosthetics. Any prosthesis for the implant can be chosen – metal ceramics, ceramics or zirconium.

  • Veneering

A method of microprosthetics that is becoming increasingly popular, in which the thinnest ceramic plates are glued to the outer surface of the teeth. Veneers are made according to the individual parameters of each patient. Before veneering, the thinnest layer of enamel from the teeth must be ground off. It is important to understand that you cannot stick an onlay on just one problem tooth: the result will look unnatural. Veneers are installed on the entire frontal group - 6-8 teeth. After installing ceramic onlays, the teeth look perfect – white and straight. It also helps to get rid of hyperesthesia - the veneer protects worn-down enamel from reacting to cold, hot, and sour. Veneers retain their ideal appearance for more than 20 years. If you need to remove onlay veneers, you will have to cover teeth with worn-off enamel with crowns.

  • Luminizing

A more expensive alternative to veneering, although the principle is similar. Lumineers overlays are thinner, therefore, according to the American manufacturer (and Lumineers are made only in the USA, so they will have to wait in Moscow for two months or more), they do not require grinding of the enamel. This is not a clear advantage, since without grinding it is not possible to achieve ideal adhesion, and as a result, microparticles of plaque will accumulate between the lumineers and the tooth. Another feature of lumineering as a method of restoring anterior teeth is the highest cost among the listed options.

Rating
( 2 ratings, average 4.5 out of 5 )
Did you like the article? Share with friends:
For any suggestions regarding the site: [email protected]
Russian | English
Для любых предложений по сайту: mag-stomatolog@cp9.ru