Можно ли ставить брекеты при пародонтозе и пародонтите


Брекеты и десны

Причины воспаления десен
Проблемы с деснами при брекетах

Вытягивание зуба из десны брекетами

Основная задача брекетов – коррекция прикуса и выравнивание зубного ряда. Система воздействует на зубы таким образом, чтобы они двигались в нужном направлении. Иногда пациенты жалуются, что во время ортодонтического лечения воспаляются десны. Что делать в такой ситуации?

Лечение и профилактика заболеваний десен при исправлении прикуса

  • качественная самостоятельная чистка: чистить зубы и удалять особое внимание деснах необходимо утром, вечером, а также после каждого приема пищи, вплоть до перекусов. Особенно пригодится ирригатор – устройство, которое позволяет очистить ортодонтические аппараты, зубы и десны струей воды под давлением,
  • профессиональная чистка зубов и удаление зубных отложений: в подавляющем большинстве случаев причиной пародонтита и пародонтоза является плохая гигиена. Поэтому не только при лечении, но также и в обычной жизни рекомендуется проводиться ультразвуковую чистку зубов 1-2 раза в год, удаляя налет и камень с зубов и из-под десен,
  • противовоспалительное лечение: включает в себя полоскание полости рта антисептическими растворами, аппликации противомикробными препаратами и прием антибиотиков,
  • физиолечение: применение лазера или электрофореза поможет быстро снять воспаление,
  • хирургическое вмешательство: радикальный метод, который поможет остановить развитие болезни – его необходимость оправдана в случае сильного отслоения десны от поверхности зуба и появления подвижности. Во время операции проводится разрезание десны и очищение корня зуба от налета и камня. При установленных брекетах подобный метод не применяется, однако если лечение проводится посредством съемной конструкции, она легко извлекается изо рта на время проведения операции.

Металлические брекеты Damon Q — всего 72 000р.!

Все включено! Подготовка и лечение полости рта, консультация с ортодонтом-специалистом, установка и настройка ортодонтической конструкции. Доступны цветные варианты для самых маленьких! Подробнее>>> Консультация у врача бесплатно! Звоните сейчас: +7 (495) 789-39-31
Однако стоит помнить, что если пародонтит перешел в стадию подвижности зубов, ортодонтическое лечение может оказаться пустой тратой денег, сил и времени. Избавиться на всю жизнь от шаткости зубов не получится – рано или поздно их придется удалить и заменить на протезы или имплантаты. В этом случае вашему врачу-ортодонту необходимо продумать план перемещения здоровых зубов с учетом будущего протезирования. Возможно, подвижные зубы даже лучше удалить изначально, чтобы у остальных здоровых было место для движения.

Стоимость

Название услугиЦена
Коррекция альвеолярного гребня 1 челюсть15 000 руб.
Вестибулопластика с использованием хирургического лазера 1 челюсть12 000 руб.
Кюретаж открытый в области 1 зуба с обработкой антисептиком1 500 руб.
Кюретаж закрытый в области 1 зуба с обработкой антисептиком800 руб.
Гингивэктомия с использованием хирургического лазера в обл. 1 зуба2 000 руб.

Все цены на услуги

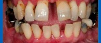
Причины воспаления десен

  1. Плохая гигиена полости рта. Несмотря на то, что десны не соприкасаются с брекет-системой, на них ложится колоссальная нагрузка. Во время ношения брекетов зубы и десны нуждаются в большем уходе, чем раньше, ведь ортодонтическая конструкция мешает зубной щетке добраться до труднодоступных мест. Если не очищать зубы от скопившегося налета, то он быстро перерастет в зубной камень, отсюда – нагрузка на десны: они начинают воспаляться и болеть. Для профилактики здоровья зубов рекомендуется раз в три месяца проходить профессиональную гигиену.
  2. Неправильная установка брекет-системы. Достаточно редкая причина, но тоже имеет место быть. Брекеты натирают слизистую, образуя ранки, которые провоцируют воспаление и приводят к кровоточивости и отеку десен. В таком случае необходимо обратиться к врачу для коррекции системы.


Относительные противопоказания к брекетам

Относительные противопоказания являют собой проблемы организма, при которых установка брекетов не возможна прямо сейчас. Но проводить ортодонтическое лечение можно после того, как проблема полностью исчезнет. К ним можно отнести:

  • Болезни десен (пародонтоз, пародонтит) для которых характерно острое воспаление мягких десен, при этом часто может возникать подвижность зубов, а ткани вокруг них могут разрушаться, поэтому они могут просто не выдержать дополнительной нагрузки. Лечение не даст ожидаемого эффекта, а зубы можно потерять.
  • Недостаточная гигиена ротовой полости или невозможность ее провести. При лечении на брекет-системах общая гигиена ротовой полости очень важна. Нужно регулярно не только чистить зубы, но и брекеты, а также труднодоступные места между поверхностью зубов и элементами конструкции. Если не соблюдать эти правила, на зубах появится налет, из-за которого будет образовываться кариес.
  • Онкологическая патология полости рта (гранулемы и кисты) – при ортодонтическом вмешательстве возможет их активный рост или же из-за повреждения кости через перемещение зубов новообразования челюстной системы могут перейти на более серьезную стадию.
  • Аллергии – у каждого пациента индивидуально могут возникнуть аллергические реакции на используемые материалы (преимущественно на металлы, исключение становит золото). Но можно сделать выбор альтернативных видов брекет-систем, например, сапфировых или керамических.
  • Бруксизм – патологическое состояние, при котором у пациента возникает бессознательный скрежет зубами в ночное время. В результате сильного сжимания челюстей брекеты при их наличии можно повредить. В этом случае альтернативой будут каппы – они покрепче и помягче, причем снижают нагрузку на челюстной сустав и зубы.
  • Болезни височно-нижнечелюстного сустава – при изменении положения зубов ситуация может только ухудшиться и работа жевательных мышц нарушится еще больше.

Хотя и противопоказаний к использованию брекетов очень много, большинство из них при своевременном адекватном лечении устраняются. Кроме того, пациенты на сегодняшний день имеют много альтернатив, начиная обычными пластинками и заканчивая современными каппами.

Добавить отзыв (комментарий)

Отправляя эту форму Вы принимаете политику конфиденциальности.

Проблемы с деснами при брекетах

  • Болит десна

В основном болезненные ощущения возникают в период привыкания к инородной конструкции. Как правило, через пару недель боль проходит. Похожие симптомы могут возникнуть и после смены ортодонтических дуг, однако они длятся недолго, максимум 2 – 3 дня.

  • Опухла десна

Подобный симптом может говорить о воспалительном заболевании, например, гингивите. Гингивит появляется в основном на фоне плохой гигиены полости рта. Десны начинают болеть и кровоточить. Для укрепления здоровья десен рекомендуется пропить курс поливитаминов.

  • Натирание десен

При интенсивной ортодонтической нагрузке на зубы десны не успевают быстро адаптироваться, из-за этого десна может немного разрастаться. Для устранения подобной проблемы необходимо обратиться к врачу.

Показания и противопоказания

Нарушения прикуса не только отрицательно сказываются на эстетике улыбки. Неравномерное распределение нагрузки ведет к дефектам дикции, быстрому стиранию эмали, повреждению зубов, асимметрии лица.

Показаниями для установки брекетов на зубы взрослому человеку являются:

  • нарушения прикуса (значительное выдвижение одной из челюстей вперед, перекрестное перекрытие резцов);
  • скученность зубных единиц;
  • большие промежутки между отдельными зубными единицами;
  • неполное смыкание челюстей;
  • кривизна зубного ряда;
  • смещение отдельных единиц вдоль оси;
  • аномальное положение зубов.

Решение об установке брекетов принимает врач-ортодонт после предварительного осмотра пациента и ряда диагностических мероприятий. Противопоказаниями для процедуры являются:

  • кариес на зубах;
  • отсутствие нескольких единиц в ряду;
  • патологии костной ткани;
  • серьезные иммунные нарушения;
  • эндокринные заболевания;
  • психо-невротические расстройства.

Можно ли ставить брекеты при коронках, пломбах и имплантах

Вопрос совместимости брекетов с коронками, мостами и прочими протезными конструкциями решается в каждом случае индивидуально. Использование классических систем в таких случаях может привести к определенным проблемам. Так, зафиксировать брекет на коронке гораздо труднее, чем на естественной зубной ткани. Поэтому вместо несъемных металлических брекетов пациенту можно предложить съемную каппу инвизилайн Invisalign.

Лечение на капах (элайнеры)
Для людей, которые стремятся к красоте и эстетике, но испытывают страх при мысли о брекетах, современная ортодонтия предлагает отличный выход – элайнеры для выравнивания зубов. Это инновационный способ борьбы с неправильным прикусом. Ортодонтический предлагает своим пациентам качественно и комфортно исправить прикус и выровнять зубы при помощи новейших технологий – прозрачных кап-элайнеров.
250 000 ₽

Если в ротовой полости имеются мосты и импланты, то говорить об особой подвижности зубов уже не приходится. Поэтому затруднены и попытка движения моста (которая может обернуться его повреждением), и изменение положения импланта. Но в распоряжении опытного профессионала имеются методики, позволяющие и в таких случаях исправить прикус с помощью брекет-системы без негативных последствий — разумеется, если в этом действительно есть необходимость.

Разновидности брекетов

Брекеты условно можно разделить на три вида: металлические

и
керамические
и
лингвальные
. О каждом из них мы уже написали отдельные статьи.

Кроме того, мы записали замечательное, которкое видео о различных видах брекетов с нашим ортодонтом Емцовой Евгенией Олеговной:

Теперь, остановимся на особенностях выбора той или иной системы.

Суть метода

При установке брекетов взрослому на каждый зуб наклеивают пластинки. Все они объединяются с помощью металлической дуги. Дуга оказывает давление на единицу, способствуя ее перемещению в нужном направлении. В результате зубной ряд выравнивается. После ношения брекетов пациент использует ретейнеры. Эти устройства фиксируют зубы на новом месте и предотвращают их смещение обратно. Врослые носят брекеты в среднем 1,5 года.

Брекет-системы для взрослых бывают вестибулярными (ставят с наружной стороны ряда) и лингвальными (ставят с внутренней стороны ряда). Последние существенно дороже. В зависимости от материала конструкции выделяют системы:

  • металлические – самые доступные, однако очень заметные;
  • керамические – изготовляют из фарфора, малозаметны, однако стоят дороже;
  • сапфировые – изготовляют из искусственных кристаллов, незаметны внешне, прочные, но считаются дорогими.

В зависимости от способа фиксации дуги выделяют брекеты лигатурные и безлигатурные. В последних дуга свободно скользит сквозь замки пластин. Натяжение меняется в соответствии с перемещением зубов. Такие аппараты требуют более редких визитов к врачу.

Врач-ортодонт подбирает оптимальный вид конструкции исходя из особенностей клинического случая. Цена брекетов на зубы взрослому зависит от материала, способа фиксации дуги, способа крепления к зубам и ряда других факторов.

Корректирующие устройства могут устанавливать прямым и непрямым способом. Прямой подразумевает приклеивание пластин к каждому зубу, непосредственно во рту пациента. Процедура занимает около полутора часов для одной челюсти. Непрямой способ подразумевает компьютерное моделирование челюсти, установку пластин на ее модели, перенос на силиконовую каппу и фиксацию сразу всех замков во рту пациента. Данный метод требует менее часа на одну челюсть.

Золотые и титановые брекеты

Тем людям, которые, напротив, не собираются экономить, а хотят покрасоваться брекетами, можно выбрать стальные или титановые системы, которые являются подвидом металлических. Титановые брекеты рекомендованы пациентам с аллергией на никель. Если же хочется подчеркнуть свое социальное положение, можно выбрать другой металл для брекетов – золото.

Золотые брекет-системы не только эстетично выглядят, но и могут стать настоящим украшением зубов, дополнением стильного образа.

Недостатки металлических брекетов

Первый недостаток

Но наряду с достоинствами, металлические брекеты имеют и недостатки. Прежде всего, они непривлекательны внешне и очень заметны при разговоре или улыбке. Современная стоматологическая клиника позволяет украсить брекеты, но факт остается фактом, многие люди их стесняются, и, как следствие, замыкаются в себе. Многим брекеты мешают в работе или в личной жизни, но ради красивой улыбки можно пойти на эти жертвы, тем более что это временное неудобство.

Второй недостаток

Второй недостаток в том, что не каждый человек может позволить себе покупку брекетов. Это удовольствие не из дешевых, хотя, как уже говорилось, из всех категорий брекетов, именно металлические отличаются разумной ценовой политикой. Поэтому ношение брекетов может стать показателем определенного социального статуса. А в целях экономии можно приобрести безлигатурные саморегулирующиеся системы, не требующие частой замены, а следовательно, и дополнительных затрат.

Рейтинг
( 2 оценки, среднее 4.5 из 5 )
Понравилась статья? Поделиться с друзьями:
Для любых предложений по сайту: mag-stomatolog@cp9.ru