Нехирургическое ортодонтическое лечение открытого прикуса у взрослого пациента

Одной из распространенных ортодонтических проблем является открытый прикус. При этой разновидности неправильной окклюзии верхний и нижний зубной ряд не смыкаются друг с другом. При смыкании между челюстями образуется щель, которая мешает нормально сомкнуть губы и даже пережевывать пищу. Чаще всего диагностирую открытый прикус у детей в возрасте до 12 месяцев. Независимо от причины развития патологии ее необходимо исправлять. Открытый прикус доставляет человеку гораздо больше проблем, чем другие патологии, связанные с окклюзией.

Стоматологическая клиника ПРОПРИКУС оказывает услуги по коррекции открытого прикуса. Процедуру выполняет врач-ортодонт. В нашей клинике используют инновационные методики коррекции. Мы помогаем избавиться от проблем с прикусом, даже в самых сложных ситуациях. При составлении лечебного плана учитывается возраст пациента, степень патологии, состояние зубов.

Что такое открытый прикус?

Открытый прикус – это неправильное расположение зубного ряда, при котором передние или боковые зубы верхней и нижней челюсти не смыкаются. При этом наблюдаются не только физиологические нарушения, но и функциональные. Из-за отсутствия контакта прикуса человек не может качественно пережевывать пищу, в результате чего в таком виде она попадает в другие органы желудочно-кишечного тракта. Именно поэтому люди с открытым прикусом часто страдают от проблем с пищеварением.

Такая деформация прикуса может наблюдаться, как у детей, так и у взрослых. При отсутствии адекватного лечения степень ее выраженности может усугубиться, и с годами исправить ее будет все тяжелее.

Аппарат Френкеля

Проанализировав состояние прикуса, Френкель предложил исправлять его с помощью уменьшения давления губ, щек на ряды зубов и альвеолярные отростки. В результате примененного действия, нормализовался процесс смыкания губ и положение языка приняло правильное положение. Функции языка также нормализовались.

Практически автор довел вестибулярную пластинку до скелета и ввел в конструкцию металлический каркас. В результате прочность конструкции повысилась и препарат приобрел легкость. Положительной чертой аппарата Френкеля стала открытость фронтального участка. Это позволяло легко глотать и правильно говорить. У аппарата Френкеля есть несколько типов. Для открытого прикуса используется 4 тип. Он снимает влияние мягких тканей на правильное развитие челюсти и отличается от других типов следующим:

  • Небную дугу готовят для ретрузии передних зубов, расположенных вверху.
  • Губные пелоты располагают в нижней части.
  • Вестибулярную дугу применяют для фронтальных верхних зубов.
  • Боковые участки зубного ряда имеют металлические накладки.
  • Приспособление не только разобщает прикус, но и укорачивает его.

Причины возникновения

Причины появления открытого прикуса можно условно разделить на пренатальные и постнатальные. К первой группе относятся следующие:

  • различные неблагоприятные факторы наследственности;
  • перенесенные женщиной инфекционные и соматические заболевания;
  • вредные привычки и несбалансированное питание беременной женщины;
  • сильные токсикозы.

Все эти факторы способны влиять на процесс формирования прикуса молочных и постоянных зубов. При этом могут развиваться и более серьезные сопутствующие патологии, такие как расщелина губы, деформация всей челюсти и т.п. Поэтому при выявлении каких-либо нарушений прикуса важно провести комплексное обследование.

Развиваться открытый прикус в постнатальный период может из-за внутренних или внешних факторов. В первом случае речь идет о недостаче в организме тех или иных микроэлементов, а также о нарушении обменных процессов.

Еще одна из часто встречающихся причин патологии прикуса заключается в наличии у ребенка проблем с носовым дыханием. В связи с этим он начинает систематически дышать ртом, привыкая держать его открытым. Если родители заметили такую особенности, они должны как можно скорее проверить строение носоглотки, особенно носовой перегородки, и начать лечение. В противном случае у ребенка может развиться не только открытый прикус, но и другие патологии челюсти.

К группе внешних факторов относятся такие:

  • привычка ребенка грызть ногти или другие инородные предметы, например, игрушки, колпачки с ручек и т.п.;
  • сосание пальца в период прорезывания молочных зубов;
  • частое высовывание языка между зубами с открытым ртом.

Зачастую в этих случаях сама форма деформации прикуса начинает напоминать очертания того предмета, который ребенок держал во рту – пальца, игрушки и т.д.

Возможные причины

Недуг может возникнуть по следующим причинам:

  1. Врожденные нарушения из-за серьезных заболеваний матери ребенка. К ним можно с уверенностью отнести болезни сердца, эндокринные нарушения, токсикоз, инфекции разного характера, вирусные поражения и некоторое другое.
  2. Плохая наследственность.
  3. Травмы челюсти.
  4. Запрокидывание головы во сне.
  5. Заболевания раннего возраста (например, рахит).
  6. Неправильное дыхание носом.
  7. Щель между небом и альвеолярным отростком.
  8. Увеличенные размеры языка и неправильное его функционирование;
  9. Вредные привычки (кусание предметов, сосание пальцев, держание языка в щели от потерянных ранее зубов, долгая привычка пользоваться соской, кусание ногтей).
  10. Нетипичное расположение зубных зачатков.

Симптомы открытого прикуса

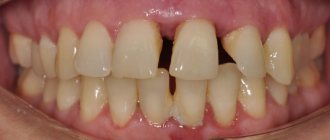
Главным признаком открытого прикуса являются видимые деформации зубного ряда. При этом четко заметна щель между верхней и нижней челюстями. Она может быть большей или меньшей, однако ее наличие обязательно.

Зачастую у детей и взрослых с открытым прикусом изменяются черты лица. Их подбородок принимает удлиненный вид или появляется его искривление. Верхняя губа обычно немного укорочена, а из-под нее виднеется нижняя часть верхнего зубного ряда. Чтобы скрыть свой недостаток прикуса, такие люди часто пытаются силой сомкнуть губы, не оставляя промежутка. Однако для этого их необходимо все время держать в напряжении.

Передние зубы у людей с открытым прикусом часто являются скученными. В связи с этим они более подвержены поражению кариесом, поэтому требуют дополнительного наблюдения.

Существуют и менее выраженные симптомы деформации прикуса. К ним относятся:

  • частая сухость во рту, которая возникает из-за преобладания ротового дыхания над носовым;
  • затруднения с откусыванием и пережевыванием еды, что особенно заметно у детей с таким недугом;
  • появление пародонтоза и других сопутствующих заболеваний ротовой полости.

Из-за нарушения прикуса у таких людей может наблюдаться изменение формы дна носа и верхнего неба, а также патологии формирования придаточных пазух.

Как проявляется?

Патология имеет выраженную симптоматику, которая проявляется лицевыми и внутриротовыми изменениями.

Симптомы

К основным симптомам заболевания относятся внутриротовые изменения.

Кроме образующейся вертикальной щели между зубными рядами, наблюдаются другие признаки патологии:

  • фронтальный отдел челюстной дуги уплощается и теряет свою округлость;
  • определяется сужение челюстных дуг;
  • скученность резцов нижней челюсти;
  • нижняя челюстная дуга принимает форму трапеции;
  • удлинение высоты боковых отделов;
  • зубные ряды имеют недостаточное развитие апикальных базисов;
  • зубы имеют неправильную форму и расположены по вогнутой кривой;
  • на дентальных тканях отмечается гипоплазия;
  • десневые сосочки гипертрофированы;
  • язык может быть увеличен.

Лицевые признаки

Во время осмотра лица выявляются следующие признаки:

  • подбородок смещен вниз по отношению к углу нижней челюсти;
  • подбородочная и носогубная складка сглажены;
  • верхняя губа короткая, натянутая, из-за чего губы смыкаются с трудом;
  • нижняя половина лица увеличена.

Функциональные нарушения

Ротовые изменения приводят к нарушению некоторых функций:

  • отмечаются трудности при откусывании и пережевывании пищи;
  • нарушается дикция
  • формируется инфантильное глотание;
  • преобладает ротовое дыхание.

Патогенез открытого прикуса

Следует помнить о том, что открытый прикус может появится еще в пренатальном периоде. В этом случае неправильное расположение зубов закладывается еще в их зачатках. Поэтому расти они начинают изначально криво.

Так как зачатки коренных зубов формируются одновременно с молочными, они также могут иметь патологию. Именно поэтому для таких случаев будет недостаточным исправить открытый прикус в раннем возрасте. В большинстве случаев терапию придется повторять уже при прорезывании постоянных зубов.

Если же патология прикуса вызвана внешними факторами, то процесс формирования является несколько иным. При этом расположение зубного ряда изначально правильное, однако со временем деформируется. Такие искривления важно вовремя заметить и начать их исправление. Обычно последний из вариантов прикуса является более податливым для лечения, по сравнению с врожденной патологией.

Что представляет собой это заболевание

Открытый прикус – для этого нарушения окклюзии характерно отсутствие полного смыкания нижних и верхних резцов. При нем происходит резко выраженные патологические изменения зубочелюстной системы с выпадением функции, а также грубые эстетические дефекты. Подобное нарушение прикуса может быть как самостоятельным заболеванием, также оно часто сочетается с другими патологиями окклюзии и неровностью зубного ряда. Встречаются комбинации с дистальным и мезиальным нарушением смыкания зубов. Он регистрируется довольно редко, его распространенность среди всех аномалий окклюзии составляет около 2%. Дефект чаще всего выявляется у малышей в возрасте до одного года.

Классификация

По этиологическому критерию подобную дизокклюзию делят на истинную (рахитическую) и ложную (травматическую). Выделяют три степени открытого прикуса, в основу классификации положена величина пространства между верхними и нижними зубами, за счет отсутствия смыкания (окклюзии).

Степени выраженности нарушения окклюзии:

  1. Первая – присутствует вертикальная межзубное пространство до пяти мм, с отсутствием смыкания в области передних зубов (клыки, резцы).
  2. Вторая – для этой стадии характерно наличие вертикальной щели с размером от пяти до девяти мм, с отсутствием соприкосновения резцов клыков и моляров.
  3. Третья – выявляется пространство между зубами размером более девяти мм, не соприкасаются между собой передние зубы, моляры, а также премоляры.

По месту расположения выделяют фронтальную (переднюю) и боковую формы. Боковая подразделяется на двухстороннюю и одностороннюю. Отмечают, что эта патология бывает асимметричной, а также симметричной.

Причины

Причин развития этой патологии довольно разнообразны. Они делятся на приобретенные и врожденные факторы.

К врожденным причинам развития аномалии относятся:

  • неблагоприятная наследственность по этому признаку;
  • инфекции, перенесенные во время беременности;
  • экзогенные токсические воздействия на плод;
  • соматические заболевания матери;
  • родовые травмы;
  • действие лекарственных препаратов;
  • травмы беременной.

Все эти воздействия в совокупности во время внутриутробного развития вызывает нетипичное положение зубных зачатков, формированию расщелин неба, альвеолярного отростка и верхней губы. Происходит деформация лицевого скелета.

К приобретенным факторам относятся:

  • вредные привычки (длительное использование соски, сосание посторонних предметов);
  • последствия перенесенного рахита;
  • гиповитаминозы;
  • патологии минерального обмена;
  • ранняя потеря молочных зубных единиц;
  • укороченная уздечка языка;
  • макроглоссия (увеличение языка);
  • позднее прорезывание зубов;
  • болезни, вызывающие затруднение носового дыхания (аденоиды, полипы, искривленная перегородка).

Для определения тактики ведения больного необходимо выявить причину патологии. В его развитии может играть основную роль единственный патологический фактор, а также оно вызывается комплексом причин.

Симптомы

Нарушение прикуса имеет характерные признаки: лицевые, функциональные, внутриротовые.

К лицевым проявлениям относятся;

  • удлинение нижней части лица;
  • нет складки между губами и носом;
  • постоянно полуоткрытый или открытый рот;
  • сглаживание подбородочной складки;
  • наличие скошенного подбородка.

При осмотре ротовой полости больного тоже можно выявит характерные признаки.

К ним относятся:

  • отсутствие смыкания передних или боковых верхних и нижних единиц;
  • скученность;
  • форма дефекта смыкания (она повторяет форму предмета, который держат во рту);
  • сильный кариес на зубах;
  • гипоплазия эмалевого слоя;
  • сужение дуги, асимметрия альвеолярного отростка;
  • выраженный зубной камень;
  • нарушена форма верхнего неба;
  • сухость слизистых в ротовой полости;
  • признаки гипертрофического гингивита (кровоточивость и отечность десен, разрастаются сосочки десен).

Для этой дизокклюзии типичны следующие функциональные нарушения:

  • невозможность откусывать кусочки пищи;
  • трудности при жевании;
  • нарушение дикции (межзубный сигматизм, дефекты произношения губных, а также язычных звуков);
  • затруднение носового дыхания.

Дефекту обычно сопутствуют патологии развития придаточных пазух черепа, а также дна носовой полости.

Диагностика

Перед тем как исправить открытый прикус у ребенка, его тщательно обследуют. Диагноз выставляется врачом ортодонтом. Он внимательно осматривает больного, выслушивает, анализирует его жалобы. Изучает, оценивает лицевые, ротовые признаки нарушения окклюзии. Стоматолог проводит измерение расстояния между верхними и нижними зубами.

Врач назначает проведение дополнительных методов исследования.

Они включают:

  • фотометрию лица;
  • электромиография мышц головы и лица;
  • ортопантомография;
  • реография;
  • выполняют слепки челюстей с последующим изучением диагностических моделей;
  • телерентгенография черепа с проведением рентгеноцефалометрического анализа;
  • томография верхнечелюстного сустава.

Больному требуются консультации узких специалистов: логопеда, отоларинголога.

Лечение

Методыисправления открытого прикуса у детей зависят от тяжести дефекта, от возраста, в котором начинают коррекцию.

В возрасте до трех лет принимаются в основном профилактические меры.

К ним относят:

  • пресечение вредных привычек (сосание соски пальцев, посторонних предметов);
  • гимнастика для лицевых мышц;
  • своевременное введение в рацион твердой пищи;
  • употребление продуктов богатых витаминами, микроэлементами;
  • профилактика рахита;
  • своевременное лечение кариеса;
  • предупреждение воспалений в полости рта;
  • использование вестибулярных щитов.

Необходимо регулярно посещать ортодонта, выполнять все его рекомендации.

Начиная с пяти лет и до тринадцати, назначают ношение корректирующих конструкций.

Применяются следующие аппараты:

  • съемные корректирующие пластины с заслонкой для языка;
  • активатор Андрезена – Гойпля;
  • аппарат Френкеля;
  • трейнеры;
  • капповое устройствот Хербста-Кожокару;
  • аппарат Энгля;
  • надзубная вестибулярная дуга.

Для усиления эффекта продолжают заниматься гимнастикой для лицевых мышц. Детям рекомендовано посещать логопеда, чтобы корректировать произношение звуков. Производят операции для коррекции уздечки губы. Отоларинголог должен лечит болезни, затрудняющие носовое дыхание.

В подростковом возрасте начиная с тринадцати лет, этот дефект корректируется с применением брекет-систем, капп, эйлайнеров. Их обычно носят 2 года для достижения необходимого эффекта. В тяжелых случаях применяется оперативная коррекция альвеолярного отростка. Если достаточного смыкания челюсти добиться не удалось, Зубы обтачиваются, на них надеваются коронки.

Осложнения

Если не проводятлечение открытого прикуса у ребенка, развиваются серьезные осложнения.

Это могут быть:

  • дефекты внешности;
  • заболевания ЛОР органов;
  • болезни желудочно-кишечного тракта;
  • дисфункции верхнечелюстного сустава;
  • головные боли;
  • тяжелые психологические расстройства.

Этих проблем можно избежать при своевременно начатом лечении у ортодонта, при выполнении всех его предписаний.

Профилактика

Профилактика формирования нарушения смыкания направлены на предотвращение причин, которые ответственны за развитие аномалии.

Рекомендовано:

  • проведение профилактики патологий, осложняющих течение беременности;
  • профилактика рахита;
  • устранение заболеваний, затрудняющих носовое дыхание;
  • необходимо следить за своевременным прорезыванием зубов;
  • вовремя лечить их от кариеса.

Если есть подозрение на формирование аномалии смыкания ребенка, надо регулярно водить на осмотр к ортодонту.

Прогноз

Заболевание имеет положительный прогноз при рано начатой ортодонтической коррекции дефекта. В этом случае удается сделать внешность привлекательнее и не допустить формирование комплексов и появление психологических проблем.

Классификация и стадии развития открытого прикуса

Открытый прикус различают в зависимости от места его локализации. При этом выделяют передние и боковые варианты. Также выделяют виды открытого прикуса по челюстному расположению. Это комбинированные варианты, которые затрагивают обе челюсти, а также верхнечелюстные и нижнечелюстные.

Традиционно в стоматологии выделяют три стадии развития такого дефекта, как открытый прикус, которые различаются по степени его выраженности:

  1. На первой стадии щель между зубами не превышает 5 мм.
  2. На второй стадии она может находиться в пределах от 5 до 9 мм.
  3. Для третей стадии характерной является щель, размером свыше 9 мм.

В зависимости от того, на какой стадии находится недуг, врач будет подбирать наиболее эффективный метод лечения.

Как исправить прикус у ребёнка

Какой бы тяжёлой ни была патология – чем раньше начато лечение, тем легче добиться эффективного результата. Для исправления нарушений существуют три способа коррекции прикуса у детей:

  • традиционный – установка брекет-систем;
  • альтернативный (без брекетов) – капы, пластины, физиопроцедуры;
  • кардинальный – хирургическое вмешательство.

До заключительного этапа формирования постоянного прикуса применяются только альтернативные методы, но можно ли с их помощью исправить неправильный прикус у ребёнка?

Съёмные ортодонтические пластинки

Ортодонтические пластинки

представляют собой конструкции, состоящие из полимерной расширяющей челюсть основы и металлических дуг, которые служат для фиксации пластины и выравнивания переднего ряда зубов.


Съёмная ортодонтическая пластинка
Эти аппараты изготавливаются индивидуально, по слепкам челюсти маленького пациента. Для корректировки нагрузки аппараты снабжены винтами и расширителями. На приёме у врача родители ребёнка научатся выполнять эту процедуру самостоятельно, что сэкономит время на визитах к ортодонту.

Пластинки для исправления прикуса у детей предназначены для постоянного ношения, но съёмные конструкции вынимаются во время приёмов пищи или гигиенических процедур.

Трейнеры для зубов

Трейнеры

для исправления прикуса у детей представляют собой капы, изготовленные из плотного силикона.


Трейнер для исправления прикуса
Трейнер выполняет несколько функций:

  1. Самостоятельно корректирует лёгкие патологии.
  2. Препятствует дальнейшему развитию неправильного прикуса, предупреждает осложнения.
  3. Способствует избавлению от вредных привычек, послуживших фактором искривления зубов.

Капы для исправления прикуса у детей фиксируют обе челюсти одновременно в правильном положении. Но при их использовании невозможно вести привычный образ жизни: разговаривать, принимать пищу. Поэтому капы надевают на время сна ребёнка и несколько часов днём.

Процесс исправления прикуса трейнерами долгий и требует терпения от ребёнка и родителей.

Замечено, что у детей, регулярно использующих трейнеры перед установкой брекетов, эффект от терапии наступает быстрее.

Миотерапия

Миогимнастика

в ортодонтии представляет собой комплекс упражнений на расслабление или разработку отдельных лицевых мышц.


Миотерапия в ортодонтии
Метод служит как основным, так и вспомогательным способом коррекции прикуса. Для каждого вида патологии существует свой комплекс упражнений. Первые уроки проходят под контролем ортодонта, как только ребёнок научится делать гимнастику правильно, он продолжает работать дома самостоятельно или с родителями.

Условия выполнения упражнений для исправления прикуса у детей:

  1. Систематичность и регулярность.
  2. Достаточное приложение силы без рывков и давления. Мышцы чувствуют сопротивление, но не перегружаются.
  3. Цикличность. Упражнения выполняются в несколько подходов для достижения хороших результатов.
  4. Постепенное увеличение нагрузки и интенсивности.

Миотерапия особенно эффективна при коррекции прикуса в комплексе с физиопроцедурами: электрофорез, вибромассаж, ультразвук, вакуумная терапия, массаж.

Альтернативные методы способны корректировать лёгкие патологии неправильного прикуса в раннем детстве или затормозить развитие осложнений и дождаться завершения формирования челюсти, чтобы начать основное лечение.

Брекеты

Брекеты

– основной способ исправления неровностей зубов и неправильного прикуса у детей с 12–16 лет и взрослых любого возраста.


Брекеты для исправления прикуса
Они представляют собой систему замочков, фиксирующихся на внешней или внутренней поверхности зубов и стальной дуги, натянутой между ними.

Под давлением дуги зубы выравниваются и встают в правильное положение. С помощью брекетов возможно исправление практически всех патологий прикуса. Лечение занимает от 6 до 18 месяцев и завершается приобретением красивой, ровной улыбки.

Осложнения открытого прикуса

Как и любая другая стоматологическая патология, открытый прикус может стать причиной развития ряда осложнений. Кроме эстетических недостатков, которые могут быть выражены в постоянно открытом рту, деформации челюсти, подбородка и других частей лица, это также касается функционирования внутренних органов. Особенно в этом случае страдает желудочно-кишечный тракт. Так как человек с открытым прикусом не может полноценно пережевывать пищу, особенно твердую, она в таком виде попадает в желудок. В результате могут развиваться гастроэнтерологические заболевания, которые потребуют серьезного и длительного лечения.

Еще одним распространенным осложнением является искажение речи человека. Так как из-за открытого прикуса пропадает преграда для языка, также исчезает возможность для полноценной артикуляции. В связи с этим произносить некоторые звуки становится просто невозможно.

Важно! Необходимо помнить о том, что без исправления самого дефекта прикуса наладить речь не получится. Поэтому не стоит тратить время на логопедов и других специалистов, а лучше сразу обратиться к профессиональному ортодонту.

Хирургический способ

В случае следующих показаний применяется хирургическое вмешательство:

  • Серьезные аномалии;
  • Травмы челюстной области;
  • Сильная асимметрия лица.

Перед вмешательством хирурга проводят подготовку ортодонты. Они устанавливают брекеты-системы, которые заставляют повернуть зубы в правильное положение. Часто на этом этапе удаляют уздечку и нужные зубы.

Процесс исправления может длиться несколько лет.

После выравнивания проводится перед операцией. Врач рассекает челюстно-лицевую часть в нужном месте, двигает кости в правильное положение и крепит их стоматологическими приспособлениями. После того, как процесс хирургического вмешательства проходит, к работе приступает ортодонт. В помощь недугу опять идут брекеты. После снятия брекет-систем, наступает период, в котором полученный результат закрепляется.

Совместная работа двух врачей позволяет исправить серьезные случаи. В результате у больного нормализуется дыхание, речь и восстанавливаются жевательные функции.

Многие боятся хирургического вмешательства по нескольким причинам:

  • Анестезия. Как местная, так и общая. Процедура еще ни одному человеку не добавила здоровья. Как пациент будет чувствовать себя после нее, предугадать невозможно.
  • Во время открытой операции всегда существует риск занесения нежелательной инфекции.
  • В процессе могут возникнуть сильные кровотечения.
  • Возможно появление аллергии из-за применяемых препаратов.
  • Многое зависит от рук специалиста-хирурга.

Диагностика открытого прикуса

Зачастую диагностика открытого прикуса не требует много времени. Обычно врач при первом осмотре пациента может указать на данную патологию. Для подтверждения диагноза он может назначить дополнительный визит к ортодонту, который сможет более грамотно установить причины деформации прикуса и назначит комплексное лечение.

Если патологию прикуса удалось выявить в раннем возрасте, врач может порекомендовать сделать снимок челюсти. Он нужен для того, чтобы определить состояние постоянных зубов, которые еще не появились на поверхности.

Профилактические меры

В профилактических целях следует исключить этиологические причины. К ним относятся снижение или исключение патологии во время беременности, профилактика рахита, избавление малыша от привычки брать все в рот и сосать предметы, своевременная коррекция уздечки, строгий контроль за процессом прорезывания зубов, лечение возникшего кариеса.

Самое главное в профилактике вовремя обнаружить патологию и обратиться к ортодонту, который примет меры. При раннем обращении, возможно, изменить ситуацию в положительную сторону. Лицевые дефекты станут менее выраженными или совсем незаметными, челюсть начнет развиваться правильно, психоэмоциональный фон больного ребенка улучшится. Заметим, что ложный прикус исправляется ортодонтами быстрее рахитического.

Лечение открытого прикуса

Методы лечения такого заболевания, как открытый прикус, зависят от причин, которые повлияли на его появление. Также в учет берется возраст пациента, его индивидуальные особенности.

Лечение у взрослых

Лечением патологии прикуса у взрослых занимается ортодонт. Обычно на первом этапе пациенту подбирают правильные конструкции, для выравнивания зубного ряда. Это могут быть каппы, брекет-системы, пластинки и т.д. В отдельных случаях, если дефект слишком большой, может быть назначено оперативное вмешательство.

Лечение у ребенка

Детский открытый прикус обычно лучше поддается лечению, чем взрослый. Терапию врач начинает с определения причин появления патологии. Если она заключается во влиянии внешних факторов, то такие обязательно должны быть устранены. Также очень важно на данном этапе провести укрепляющую терапию, то есть начать прием препаратов, которые содержат кальций и другие микроэлементы.

Чтобы вернуть прикусу правильную форму применяются специальные конструкции. Для детей раннего возраста достаточно использования капп. Более старшим зачастую назначают ношение пластинок и брекетов.

Стоимость

В таблице указана примерная стоимость коррекции открытого прикуса у ребенка.

Наименование услугиЦена в рублях
Коррекция аномалий окклюзии аппаратом Энгляот 14000
Коррекция активатором Френкеляот 11000
Коррекция аппаратом Андрезена – Гойпляот 18000
Исправление дефекта хирургическими методамиот 200000
Оперативная коррекция уздечки губот 4500
Коррекция с применением аппарата Хербста-Кожокаруот 13000
Исправление дефекта брекетамиот 31000

Коррекцию открытого прикуса рекомендуется проводить в детстве. В этот период челюсти активно формируются. У взрослых это сделать очень трудно, им приходится удалять зубные единица, растущие в неположенном месте с последующим протезированием.

Аппараты для исправления открытого прикуса

Выбор конструкции зависит от сложности самой патологии прикуса, а также от индивидуальных особенностей пациента. Кроме того, значение имеет цена такого аппарата, ведь не каждый может позволить себе дорогостоящие варианты. Однако, зачастую, и более бюджетные варианты оказываются очень эффективными при лечении прикуса.

Пластинки

Пластинка является самым простым и доступным вариантом конструкции для исправления открытого прикуса. Она может быть назначена, как взрослым, так и детям. Данное приспособление представляет собой пластину, которая состоит из двух частей, скрепленных специальным винтом. Обе части крепятся к зубам в зависимости от локализации деформации прикуса. После этого врач накручивает винт так, чтобы давление, оказываемое пластиной на зубы, меняло их расположение в нужном направлении.

Трейнеры

Трейнеры представляют собой специальные силиконовые каппы для исправления открытого прикуса. Они изготавливаются индивидуально по предварительно сделанному слепку. Их можно носить как днем, так и надевать на ночь.

Брекет-системы

Брекеты считаются одним из наиболее эффективных методов, позволяющих скорректировать открытый прикус. С их помощью можно максимально точно корректировать перемещение каждого отдельного зуба, выравнивая его расположение.

Сегодня существует большое разнообразие брекет-систем. Они отличаются материалами, внешним видом и ценой. Можно подобрать такие варианты конструкций, которые будут совершенно незаметны во рту и не будут вызывать дискомфорта при общении с окружающими.

Аппарат Андрезена-Гойпля

Такой тип конструкции называют активатором или пластинкой. Он состоит из двух частей, которые смыкаются между собою. В результате удается восстановить работу мимических и жевательных мышц, тем самым активировав нормальный рост челюсти и провести коррекцию прикуса.

Аппарат Френкеля

Данный аппарат направлен на уменьшение давления на зубы со стороны языка и щек. Таким образом удается восстановить нормальное расположение губ, которые начинают смыкаться между собою, и как результат – происходит естественная коррекция открытого прикуса.

Процедура для маленьких пациентов

Устранить окклюзию у ребенка поможет комплекс различных мер. Отлучают малыша от вредных привычек, нормализуют процесс глотания и носового дыхания или лечат рахит. Важно заботиться о гигиене ротовой полости, имплантировать протезы в пустоты выпавших зубов.

Способы исправления:

  • Упорные пластины.
  • Миогимнастика.
  • Активатор Кламмта или Андрезена-Гойпля.
  • Электростимуляция.
  • Накладки.
  • Подбородочная праща.
  • Аппарат Френкеля, Гербста или Шварца.
  • Ортодонтические трейнеры или каппы.
  • Вестибулярная дуга.

Кроме основных процедур, может потребоваться подрезание уздечки языка и санация носоглотки. Исправление открытого прикуса у детей до семи лет начинается с индивидуальной физиотерапии и миогимнастики.

В процессе лечения ребенку нужно носить специальные стоматологические аппараты, нормализующие смыкание зубов. Например, небный расширитель устраняет аномалию, подбородочный пращ и приспособления с межчелюстной тягой задвигают выступающую вперед челюсть, активаторы и накусочные пластины, нормализуют положение языка и работу мышц, снимают давление щек и губ на зубы. В сложных случаях некоторые конструкции устанавливаются одновременно.


Активатор Андрезена-Гойпля

Бывают ситуации, когда восстановить смыкание зубов можно, изменив высоту задних зубов. Это делают с помощью аппаратов, сдерживающих прорезывание или обтачиванием. У пациентов с открытой окклюзией высоко расположена верхняя губа, поэтому исправить патологию помогут накусочные пластины.

К 12−13 годам пациентам также устанавливают брекеты. Это очень удобный способ исправления дефекта, потому что дети не смогут их снять. Пациентам постарше для выравнивания зубов устанавливают капы.

Исправить открытый прикус нельзя следуя только одной схеме. Алгоритм лечения для каждого пациента индивидуальный и зависит от запущенности и возраста.

Миогимнастика применяется при молочном и сменном прикусе. Ребенок регулярно выполняет упражнения, тренирующие мышцы челюстей. Наилучший результат достигается при использовании амортизатора Роджерса или межгубного диска Фриэля. Фотографии открытого прикуса до и после лечения помогут оценить качество терапии.

Активатор состоит из пластин с накусочной областью, в которую упираются боковые зубы. Передняя сторона конструкции содержит упор для языка. В проблемных ситуациях активаторы оснащаются металлическими дугами, винтами и пружинами.

При физиологическом нормальном прикусе или на позднем этапе сменного применяются ортопедические конструкции: каппы, брекеты, коронки, аппарат Энгля. В сложных случаях аппараты используют с хирургическими методами.

Оперативное вмешательство:

  • Компакт остеотомия.
  • Удаление лишних зубов.

При явных нарушениях речевого развития назначаются логопедические процедуры. Дефекты прикуса легче предупредить, чем исправлять тяжелые последствия. Родители должны наблюдать за прорезыванием зубов и вовремя обращаться к стоматологу.

Прогноз и профилактика

Однозначных мнений по поводу прогноза лечения открытого прикуса нет. Все зависит от характера патологии, а также терапии, которая применяется. Зачастую при правильном лечении пациент может полностью или частично избавиться от дефекта. Обычно врачи стремятся устранить функциональные нарушения прикуса, вернув больному возможность нормально пережевывать пищу и разговаривать. После этого принимаются за коррекцию эстетических недостатков. При грамотном подходе удается достичь качественного результата.

Что касается профилактики открытого прикуса, то она включает в себя такие этапы:

  1. В пренатальный период – отказ от вредных привычек, сбалансированное питание, контроль результатов анализов и т.д.
  2. В постнатальный период – слежение за тем, чтобы ребенок не сосал палец и другие сторонние предметы, дышал носом и не высовывал язык.

Также очень важно систематически посещать стоматолога, который всегда сможет выявить дефект прикуса на ранней стадии и назначить эффективное лечение.

Отзывы

Марина, 32 года

У моего сыночка страшная стоматологическая проблема. Стала она сильно видна в возрасте 2 лет. Зубы впереди стали плохо смыкаться. Между ними была некрасивая щель высотой примерно 1 см. Ближе к коренным эта некрасивая дыра сходила на нет. Смотря внимательно своими глазами, я не замечала, что его челюсть несколько выдвинута вперед (информацию сказал специалист). Пошли к ортодонту. Может мы попали к плохому специалисту, но он нам ничего толкового не сказал. Предложил понаблюдаться какое-то время. Да и у меня теплилась на сердце надежда, что когда появятся постоянные зубы, проблема иссякнет сама собой. Но нет. Заметно стало улучшение только к 5 годам. Щель уменьшилась вполовину. Но теперь, когда сыночку семь, вылезли новые зубки. И они намного меньше по высоте, чем старые. Сначала подумала, что со временем они дорастут. Нет. Уже больше трех месяцев находятся на прежней высоте. Я стараюсь следить, чтобы ребенок получал с пищей много кальция. Даю творог, сыр и кальцийсодержащие препараты. Результат ноль. Новые зубы только увеличили расстояние. Теперь оно больше чем 1 см. В стоматологии посоветовали выждать тринадцатилетнего возраста, чтобы вылезли клыки. Но я опять в сомнениях. Может надо было раньше паниковать. Очень боюсь, что моему малышу станут делать хирургию. Жалко. Анестезию не хочу. Но исправлять прикус нужно. Наверное, придется обращаться к другим специалистам. Надеюсь, помогут.

Агрипина, 18 лет

У меня открытый прикус с детства. Не знаю, кто виноват, наследственность или плохие привычки. В нашей семье у всех проблемные зубы. Стоматология – наш постоянный дом. Даже моя маленькая сестра, сейчас носит брекеты. Ее зубы напоминают волну. Очень ей не нравится процесс. Капризная она у нас, больно ей все. Еще мама рассказывала, что я до трех лет, постоянно сосала палец. Он был у меня вместо соски. Меня отучали, но пока я не повзрослела, так и засовывала палец в рот. Сейчас мои зубки ровные и дискомфорта, который я терпела раньше, теперь не испытываю. Но перед счастьем от зубов, был очень долгий и иногда нетерпимый процесс. Носила исправляющие брекет-системы и аппарат (название которого не помню) более двух лет. Посещала стоматолога часто. Я очень хотела исправить свой прикус, поэтому дополнительно выполняла специальные упражнения, которые показаны детям с молочным прикусом. Мне было это интересно и я надеялась на результат. Хочу сказать, что испытывать дискомфорт при жевании и плохо разговаривать – это проблема. Я очень стеснялась своего состояния. Теперь все в норме. Смеюсь и общаюсь во весь рот. Желудок от плохо пережеванной пищи больше не беспокоит. Я человек, который теперь доволен всем. Советую людям, у которых имеются проблемы с прикусом не переживать, а идти сдаваться ортодонтам. Они профессионалы и врачи от бога. Поэтому, ортодонты сделают вас здоровыми.

Ольга, 25 лет

У меня был дистальный открытый прикус. Я не избежала хирургии. Носила брекеты тоже. После использовала специальные пластинки. Скажу честно, все было ужасно. Операцию перенесла тяжело. Хоть и врач был хорошим специалистом. Самочувствие было критическое. Рот болел. Я похудела очень сильно. С моим лишним весом, это был единственный плюс. Но все закончилось. У меня ровные зубы. Все мне завидуют.

Используемые источники:

Цены на лечение

Цена исправления открытого прикуса напрямую зависит от сложности дефекта. В общую стоимость входит осмотр и консультация специалиста, оплата процедуры установки корректирующего устройства, а также покупка самой конструкции. Если для терапии прикуса требуется проведение хирургического вмешательства, то цена будет больше.

Узнать подробнее о том, сколько будет стоить такое лечение прикуса, лучше непосредственно в клинике.

Сеть клиник iOrtho оказывает качественные услуги по исправлению прикуса элайнерами Инвизилайн, запишитесь на консультацию уже сейчас!

Лечение неправильного прикуса у детей разного возраста

Аномалии развития челюсти и роста зубов нельзя оставлять без внимания. Ранний детский возраст не повод отказываться от коррекции. Ортодонт поможет подобрать наиболее эффективный способ лечения. Применение методов альтернативной терапии способно полностью восстановить функцию челюсти или предотвратить появление опасных для здоровья осложнений.

Рассмотрим, как лечат неправильный прикус у детей разного возраста.

Дети до одного года

В этом возрасте действия родителей должны быть направлены на профилактику развития патологий челюсти. К эффективным мероприятиям относят:

  • соблюдение правильного положения головы во время кормления, она не запрокидывается, подбородок не прижимается к груди малыша, следить за правильным захватом соска;
  • использование ортодонтических пустышек, имитирующих женский сосок и способствующих правильному положению челюстей при сосании;
  • предупреждение развития вредных привычек;
  • введение в рацион твёрдой пищи с появлением первых зубов;
  • достаточное потребление мамой и ребёнком продуктов, содержащих фтор и кальций или витаминных добавок, разработанных специально для кормящих женщин;
  • профилактический осмотр у стоматолога.

Чаще всего неправильный прикус у ребёнка первого года жизни развивается из-за использования некачественной пустышки, поэтому выбор этого аксессуара очень важен.

Дети от 1 до 2 лет

В интернете часто встречаются вопросы взволнованных родителей: «Моему ребёнку год, кажется, что у него неправильный прикус, что делать?» В первую очередь, при подозрениях на развитие патологии необходимо показать малыша специалисту. Он определит, является ли особенность возрастной нормой или осложнением.

Неправильный прикус у ребёнка в 1 год возникает как следствие нарушения функции сосания (а затем и жевания). В столь раннем возрасте ещё недоступны аппаратные способы коррекции, поэтому чаще всего назначаются физиопроцедуры и использование ортодонтических пустышек, возвращающих челюсть в нормальное положение.

Для коррекции неправильного прикуса у ребёнка в 2 года и старше применяют пластинки Хинца, похожие по форме на пустышку, но вместо соски в рот помещается заслонка, зажимаемая между зубами. Чем дольше продолжительность использования аппарата, тем быстрее происходит коррекция прикуса и избавление от вредных привычек.

Дети от 3 до 5 лет

Неправильный прикус у ребёнка в 3 года исправляют специальными шапочками для коррекции положения челюсти, которые надевают на ночь. Также можно продолжать терапию с помощью пластинок Хинца.

Ещё одним доступным способом в этом возрасте является миогимнастика. Трёхлетний ребёнок легко справится с выполнением упражнений.

С 4 лет разрешено использовать LM-активаторы под контролем ортодонта. А неправильный прикус у ребёнка 5 лет исправляют с помощью трейнеров и ортодонтических пластин.

Первое, что нужно сделать при обнаружении дефектов прикуса – показать малыша квалифицированному ортодонту.

Дети от 6 до 14 лет

Неправильный прикус у ребёнка в 6 лет должен вызывать наибольшее опасение родителей, так как при смене молочных зубов эта патология непременно скажется на росте постоянных костных единиц.

Поэтому необходимо тщательное соблюдение рекомендаций стоматолога. В этом возрасте доступны все альтернативные методы, врач подберёт наиболее эффективный.

Профилактика

Профилактика развития неправильного прикуса у детей начинается в раннем возрасте. Соблюдая несложные рекомендации можно избежать проблем и сохранить красивую улыбку малыша.

Советы стоматологов:

  1. Правильное прикладывание к груди или бутылочке. Обычно молодой маме в этом помогает детская медсестра или специалист по грудному вскармливанию.
  2. Предупреждать развитие вредных привычек, постепенно отказываться от пустышки при появлении первых зубов.
  3. Своевременно дополнять рацион твёрдой пищей.
  4. Следить за чистотой полости рта.
  5. Выполнять гимнастику для развития мышц лица.

Проконтролировать эффективность профилактических мероприятий может участковый стоматолог, консультация которого показана детям минимум 1 раз в год.

Здоровье зубов ребёнка влияет не только на внешний вид, но и на работу всего организма. Неправильный прикус является причиной тяжёлых заболеваний. Поэтому важно вовремя выявлять патологии и корректировать их доступными для данного возраста методами.

Причины неправильного прикуса

На развитие челюсти влияет множество факторов. Среди основных причин формирования неправильного прикуса у детей выделяют:

  • наследственность;
  • неправильное положение во время кормления грудью, неверный захват соска или соски бутылочки;
  • вредные привычки;
  • физиологические особенности, например, узкая челюсть;
  • поздний переход на твёрдую пищу;
  • ЛОР-заболевания;
  • нарушение обмена веществ, нехватка микроэлементов;
  • неправильная осанка;
  • внутриутробные патологии развития;
  • ранняя потеря молочных зубов или задержка их выпадения;
  • сопутствующие заболевания.


Привычка сосать пальцы может стать причиной неправильного прикуса
Перед началом лечения необходимо убедиться, что фактор, вызвавший патологию, больше не оказывает своего влияния.

Исправление неправильного прикуса у ребёнка без устранения причины малоэффективно.

Диагностика

Данный диагноз подтверждается и устанавливается стоматологом-ортодонтом. Для этого проводится клинический визуальный осмотр и обследование с помощью медицинского инструментария. Внешний осмотр дает возможность оценить проявления болезни со стороны лица и ротовой полости, а также измерить длину между двумя противоположными резцами. Для дальнейшего подтверждения предполагаемого диагноза, установления его формы и степени, проводят следующие анализы:

  • Фотометрическое исследование головы — позволяет детально изучить форму лица и его профиль, а также установить наличие отклонений в прикусе.
  • Ортопантомограмма — обзорный рентгенологический снимок всех зубных рядов и тканей как верхней, так и нижней челюсти. Дает возможность оценить состояние всех костных и тканевых элементов ротовой полости.
  • Создание диагностической модели челюсти — производится точный гипсовый слепок челюсти пациента. Позволяет воочию увидеть наличие патологических процессов, а также, при необходимости, создать будущий зубной протез.
  • ТРГ (телерентгенография) — панорамный рентгенологический снимок в боковой или фронтальной проекции.

В случае, если у пациента наблюдаются нарушения речи, показана дополнительная консультация логопеда. Если же заболевание осложнилось проблемами с носовым дыханием, то назначается посещение оториноларинголога.

Устранение проблемы в детском возрасте

Чтобы стать обладателем красивой и здоровой улыбки ещё с детства, необходимо регулярно посещать стоматолога и обращать внимание на пристрастие ребенка к привычкам, которые способны нанести вред ему здоровью. Лечение данной проблемы у детей имеет множество различие по сравнению с терапией, которая проводится в зрелом возрасте. В первом случае предпочтение отдаётся консервативным и профилактическим способам, которые направлены на минимизацию патогенетических факторов. Для этого проводится:

  • Устранение вредных привычек

Даже банальные и неосознанные привычки ребенка способны дать толчок для формирования неправильного прикуса. Каждому родителю необходимо уделять особое внимание детям, которые:

  1. Сосут палец — данная привычка занимает ведущее место среди всех возможных причин развития патологического прикуса. Частое злоупотребление сосанием пальца способствует деформации костных и зубных тканей ротовой полости.
  2. Грызут ногти — имеет сходное воздействие на зубы и кости.
  • Ношение специальных коронок или кап

Данная коррекция особенно актуальна в период смены молочных зубов. На первых стадия сменного периода рекомендуется использование несъемных препаратов для зубного перемещения. Выявление патологии во время второй стадии подразумевает под собой ношение пластинок с особым упором на подъязычную область. Встроенный в конструкцию винт дает возможность равномерно распределить давление на зубные дуги, что приводит к их расширению.

Профилактика

Профилактические меры для данной проблемы имеют большое значение, особенно в детском возрасте. Принятие мер во время беременности или на ранних этапах жизни ребенка, дает возможность подарить ему красивую и здоровую улыбку. Для этого необходимо:

  • Проводить профилактику развития рахита (приём витаминов, регулярные прогулки под солнечными лучами);
  • Бороться с вредными привычками малыша (желание грызть ногти или сосать палец);
  • Обеспечить свободное носовое дыхание;
  • Регулярно посещать стоматолога;
  • Осуществить коррекцию уздечки при наличии показаний для оперативного вмешательства;
  • Тщательно следить за изменениями зубов, особенно в период смены молочного зубного ряда;
  • Проводить гимнастические упражнения для мышц лица и челюсти, которые способствуют правильному формированию мышечного и костного каркаса черепа.

Лечение

Лечение это комплексный и сложный процесс, направленный на восстановление правильного взаимного расположения зубов верхней и нижней челюсти. К сожалению, он относится к числу аномалий, способных прогрессировать с годами, поэтому исправить его взрослому человеку гораздо сложнее, чем на стадии формирования зубо-челюстного аппарата. Кроме того, отказ от своевременного лечения может привести к серьезным последствиям. Чаще всего для его коррекции используют брекеты. Брекет система представляет собой несъемный ортодонический аппарат механического действия, состоящий из дуги и миниатюрных замочков, зафиксированных на поверхности зубов специальным клеем. Срок ношения брекетов при открытом прикусе составляет от полутора до трех лет. Для исправления не сильно выраженной аномалии могут использовать так же каппы и коронки для зубов, направленные на повышение прикуса. А особо сложные варианты патологии требуют хирургического вмешательства. Как правило, оно является одним из этапов комбинированного лечения. Хирургический метод может включать удаление сверхкомплектных зубов, компактостеотомию — оперативное вмешательство перед ортодонтическим лечением резко выраженных аномалий. Чтобы определить, какой метод лечения необходимо использовать, необходимо провести точную диагностику, в результате которой также выявляются и сопутствующие челюстные заболевания. При их наличии так же может понадобиться помощь гнатолога, отоларинголога, логопеда и других специалистов.

В каком бы возрасте не было обнаружено это заболевание, то стоит неукоснительно соблюдать рекомендации врача и сразу же начать лечение. Если в детском возрасте проблему удается разрешить при помощи специальных упражнений, то в старшем возрасте лучше всего использовать специальные аппараты, корректирующие взаиморасположение челюстей на уровне костей. Для взрослых также применяют специальные каппы, которые можно снимать в процессе корректирующего лечения.

Многие врачи отмечают эффективность аппаратов Энгля и Кожокару. Эти приспособления дают возможность постепенно улучшить состояние челюстей постепенно выравнивая их положение.

Врач периодически контролирует улучшения и может поменять аппарат, для достижения еще большего результата. Распространение этой патологии и число обращений к специалистам, сподвигло производителей специальных аппаратов к усовершенствованию моделей, позволяющих при помощи дуги и тяг корректировать степень воздействия.

Последствия

Какие осложнения могут возникнуть, если не корректировать неправильный прикус у ребёнка? Возможные последствия:

  • истирание зубов, преждевременный износ, повышение риска развития кариеса;
  • трудности пережёвывания вызывают проблемы ЖКТ;
  • травмы слизистой, воспаления дёсен, пародонтоз;
  • повышенная нагрузка на височно-челюстной сустав, боль, воспаление;
  • нарушение дыхания, ЛОР-заболевания;
  • защемление нервов в шейном отделе позвоночника;
  • эстетические дефекты лица, асимметрия;
  • психологические проблемы;
  • нарушение дикции.

Таким образом, неправильный прикус у детей опасен развитием заболеваний. Он напрямую влияет на эмоциональное состояние личности, самооценку, уверенность в себе. Если не исправить прикус вовремя, возможно развитие физиологических, психологических и эстетических проблем.

Рейтинг
( 1 оценка, среднее 5 из 5 )
Понравилась статья? Поделиться с друзьями:
Для любых предложений по сайту: mag-stomatolog@cp9.ru