Сколько времени занимает современное протезирование зубов?

Время на имплантацию зубов определяется несколькими факторами:

  • Проводилась ли костная пластика;
  • Имеются ли очаги инфекции в полости рта, и какой объем работы потребуется для лечения;
  • По какой методике планируется операция.

Кроме этого, пациенту предстоит сдать анализы, сделать рентгеновский снимок и КТ, при необходимости провести лечение других заболеваний, не стоматологических, если они являются противопоказанием для проведения имплантации.

Предварительная консультация

Данный этап является обязательным, и проводится с целью обеспечения качественного зубопротезирования. Предварительная консультация помогает пациенту разобраться с множеством возникших у него вопросов, позволяет правильно спланировать предстоящее протезирование.

Процедура по времени занимает не более 30-40 мин. Стоматологом во время первичного приема проводятся следующие действия:

  1. Осмотр полости рта, при котором оценивается состояние слизистой, зубов, качества гигиены рта, функциональность жевательных мышц, нижнечелюстного височного сустава, осанки пациента.
    Обращается также внимание на состояние уже стоящих пломб, определяется необходимость их замены.

    Осматриваются установленные протезные конструкции (при их наличии), проверяется степень чувствительности зубов, выявляются признаки стоматологических заболеваний и определяются стадии их развития, решается вопрос с необходимостью проведения предварительного лечения.

  2. Опрос и сбор анамнеза. Информирование обо всех видах предстоящей работы, особенностях подготовки к протезированию, виде обезболивания, ходе операции, приоритетности и последовательности всех манипуляций.
  3. Подбор наиболее оптимального вида протезирования, материала протеза, способа его крепления.
  4. Составление предварительного плана последующих действий с учетом сложности клинического случая.Уточнение цены работы, а также сроков исполнения.

При необходимости (если сложная клиника) назначаются консультации узкопрофильных специалистов ― хирурга-стоматолога, ортодонта, терапевта, пародонтолога.

Каждый из врачей с учетом специфики своей специальности, укажет на возможное присутствие скрытых проблем, порекомендует оптимальные решение проблемы отсутствия зубов. Совместные действия врачей позволят точно спланировать лечение, предупредят проявление осложнений и обеспечат качественный результат.

Показания к установке паяного протеза и особенности конструкции.

Заходите сюда, чтобы ближе познакомиться с составными мостовидными протезами.

По этому адресу https://www.vash-dentist.ru/protezirovanie/nesemnyie-p/problem-s-zubami-v-heyhe.html поговорим о цене протезирования зубов в Хэйхэ.

Диагностика

Диагностика является обязательной процедурой терапевтического этапа подготовки к протезированию.

Ее целью является определение качества и толщины челюстной кости, состояния зубных корней и каналов, выявление патологий, протекающих в скрытой форме, изучение особенности дна верхнечелюстной пазухи и гайморовых пазух.

Результаты диагностических обследований нужны для определения показаний (ограничений) к протезированию, выбора способа восстановления зубов и вида протезной конструкции.

Благодаря всестороннему изучению зубочелюстной системы, удается предупредить проявление осложнений, и продлить срок эксплуатации протеза.

Сегодня терапевтический этап практикует следующие виды исследований:

  1. Компьютерная томография (КТ).
    Информативный диагностический метод, позволяющий получить точный трехмерный снимок зубочелюстного аппарата пациента, по которому врач может выявить скрытые аномалии, оценить состояние альвеоляров, проверить качество челюстной кости, определить дефекты корней.

    Снимок достаточно четкий, и его можно рассматривать во всех проекциях, увеличивать (при необходимости), что положительно сказывается на точности составления плана лечения.

    Средняя продолжительность сканирования – не более 10 сек., плюс надо прибавить время для оформления врачом карточки, подготовки к процедуре, позиционирования аппарата, распечатку результата.

    Компьютерную томографию удобно проходить той категории людей, у которых стоят постоянные протезные конструкции из металла.

  2. Ортопантомограмма.
    Это один из распространенных видов рентгеновского обследования, иначе называемый как панорамный снимок (с двухмерной визуализацией).

    На ортопантомограмме видна отчетливая картина состояния сразу всего зубочелюстного аппарата, т.е. по снимку можно не только изучить состояние всех оставшихся зубов, височного сустава и челюстной кости (ее плотность и объем), но и определить расстояние до гайморовых пазух, рассмотреть их состояние и расположение.

    Панорамный снимок также помогает составить правильный и грамотный план лечения. Длительность диагностики – не более 15 мин., снимок делается в течение 5 мин.

  3. МРТ (магнитно-резонансная томография).
    Метод диагностирования, применяемый при определении наличия скрытых патологий зубочелюстной системы, определения качества и состояния тканей.

    Среди достоинств отмечается возможность получения четкого 3D-снимка без искажений и погрешностей с повышенной контрастностью, что позволяет детально изучить область предполагаемого восстановления. Средняя продолжительность обследования – около получаса.

  4. Радиовизиография.
    Это рентгеновская диагностика состояния зубочелюстной системы, отображающая результат на нескольких или одном прицельном снимке.

    Применяют как для исследования отдельно взятого зубного элемента и его корней, так и диагностики состояния околозубных тканей и челюстной кости. Примерная длительность процесса – 7-10 сек.

Важно! Какой именно метод диагностики будет назначен – решает врач, исходя из особенности клинического случая и объема предстоящего лечения.

Длительность клинического этапа точно указать невозможно – все зависит от возраста пациента, состояния его здоровья и продолжительности получения результата, т.е. от 1 дня до 10 дней (если ждать результат на ВИЧ-инфекцию).

Базальный комплекс

Базальная имплантация зубов – комплексный метод восстановления зубного ряда при острой атрофии челюстной кости. Данный протокол предусматривает вживление искусственных корней не в губчатую кость, подверженную процессу убывания, а в более глубокие слои костных тканей, причем не только челюстной, но и скуловой кости, а также контрфорсов черепа, не подверженных процессам резорбции. Базальный комплекс – идеальный вариант если нужно быстро восстановить нормальную функциональность зубочелюстного аппарата при частичной (отсутствие больше 3 подряд зубов в ряду) или полной адентии.

Одноэтапные протоколы имплантации, к которым относится и базальный комплекс, позволяют обходиться без дополнительных операций по наращиванию костной ткани и прочих хирургических манипуляций. Возможность вживлять импланты сразу после удаления зуба и немедленно нагружать их протезом, позволяет сократить время лечения всего до нескольких дней. Для восстановления одного зубного ряда необходимо от 8 до 12-14 имплантов. Стоимость комплекса не зависит от количества установленных имплантатов.

Базальный протокол предусматривает следующие этапы имплантации зубов:

  • Подготовительный
    – проводится осмотр ротовой полости, сбор анамнеза об общем состоянии здоровья. Далее следует более глубокая диагностика – рентген-оценка качественно-количественных параметров челюстной кости (ортопантомограмма, 3d-томография), ряд анализов крови, консультации узких специалистов (по показаниям). Ликвидируются все имеющиеся зубные проблемы: удаляются твердые и мягкие отложения, проводится лечение зубов и десен.

Врач, с помощью специального ПО подбирает оптимальную имплантационную систему, вычисляет самые оптимальные по количеству и качеству костной ткани участки установки и угол наклона имплантатов, прогнозирует ход операции и готовит индивидуальный хирургический шаблон, позволяющий с прицельной точностью и без риска смещения вживить искусственные зубные корни в отведенные места.

  • Установка имплантов и абатментов
    – при наличии нежизнеспособных зубов и корней, их удаление проводится вместе с процедурой имплантации. Искусственные корни вживляются миниинвазивным методом, без разреза десны – транслингвально (через мини-прокол в десне) или в лунку только что удаленного зуба. После установки имплантов, врач снимает слепки, по которым будет изготавливаться протез и проводит контрольную рентгенодиагностику, чтобы убедится в правильности установки имплантационной системы.
  • Установка зубного протеза
    – через 1-2 дня после имплантации, проводится примерка, коррекция (при необходимости) и установка на абатменты ортопедической конструкции, изготовленной по индивидуальному оттиску. Установленный протез полностью функционален и может сразу использоваться по назначению (с постепенным увеличением жевательных нагрузок).

Послеоперационное восстановление при базальном протоколе занимает не больше 2-3 дней, а полная реабилитация — до 7 дней. Вся процедура потребует не больше 3-4 визитов к врачу. Минимальное время ношения адаптационного протеза – 6-12 месяцев, максимальный – 5 лет. После этого ортопедическую систему нужно заменить постоянной конструкцией из металлокерамики или циркония.

Обработка проблемных единиц

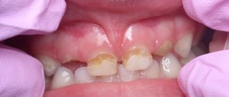
Протезирование зубов предполагает обязательную обработку (препарирование) и депульпацию.

Обточка – это стачивание твердых зубных тканей для достижения гладкой и идеально ровной поверхности. Ведь именно такая поверхность является важным условием для обеспечения качественного закрепления большинства видов протезов.

Кроме этого, зубам придается форма, точно повторяющая внутреннюю полость протезной конструкции, что позволяет ее более плотно и точно закрепить.

Сегодня, благодаря эффективным анестетикам и новому оборудованию, препарирование проходит быстрее (достаточно 10 мин. для одной зубной единицы) и безболезненно, чем несколько лет назад.

На практике обтачивание зубов может осуществляться одной из методик:

  1. Туннельной – классическая техника с использованием бормашины с металлическим или алмазным наконечником, благодаря чему врач может сточить любое количество тканей.
  2. Ультразвуковой. Предполагает применение специального аппарата, который способен передавать вибрации высокой частоты. Наконечник аппарата не контактирует с эмалевым покрытием, из-за чего снижается риск случайного повреждения нерва и дентина.
    С помощью ультразвуковой обточки можно снять лишь небольшое количество ткани.
  3. Лазерной. Данная методика является бесконтактной, позволяет за максимально короткий период получить нужный результат. Применение возможно только для препарирования небольшой толщины тканей.
  4. Воздушно-абразивной. Воздействие на зубные ткани происходит при помощи смеси воды и абразивных частиц. Методика предпочтительнее тем, что исключает образование сколов и трещинок, а также способствует сохранению здоровых тканей.
  5. Химической. Здесь специалист прибегает к помощи кислот, которые гарантированно и достаточно быстро разрушают твердые ткани.
    По окончании процесса размягченные ткани удаляются, а зубу придаются нужные параметры. Химическое препарирование — длительная процедура (на обработку одного элемента уходит не менее 15 мин.), из-за чего используется крайне редко.

В единичных случаях (примерно в 10%) перед протезированием проводится и депульпация зуба — это когда из его корневых каналов удаляются воспаленные ткани пульпы.

Процедура по времени занимает около 7-10 мин., проходит под местной анестезией, и только по медицинским показаниям:

  • частичное обнажение нерва;
  • анатомически неправильное положение протезируемого элемента;
  • высокая степень сглаженности жевательной поверхности или коронковой части;
  • механическая травма, при которой существует высокая вероятность отмирания нерва.

На принятие решения о депульпировании восстанавливаемой единицы, также влияет состояние десны и челюстной кости, угол наклона зуба и его положение в ряду, объем пульпарной камеры и вид устанавливаемого протеза.

Обычно процедура проводится перед установкой коронок из металлокерамики и циркония, поскольку при таком виде протезирования пульпа становится уязвимее из-за снятия толстого слоя твердых тканей (2-2,5 мм).

Снятие слепка

Чтобы добиться комфортного и плотного прилегания протеза, а также обеспечить правильное смыкание челюстных дуг, протезная конструкция должна точно соответствовать топографической и анатомической специфичности ротовой полости пациента. С этой целью с уже подготовленных к протезированию зубов, снимается оттиск.

Оттиском (иначе слепком) в стоматологии называют воспроизведение контуров мягких тканей, обточенных и здоровых зубов, альвеолярных тяжей, небного поперечного шва, уздечки на слепочном материале.

Важно! Без слепка невозможно правильно выполнить гипсовую модель и сделать оптимально подходящую по всем параметрам конструкцию.

С учетом клиники и вида выбранного протеза, для оттиска могут использоваться следующе группы материалов:

  • эластичные;
  • твердые;
  • полиэфирные;
  • термопластичные;
  • моделировочные.

Для получения слепка, врач наполняет слепочную ложку материалом, вводит ее в полость рта пациента, и прикладывает к зубам так, чтобы те полностью находились в слепочной массе.

Застывание материала длится порядка 20-25 мин, после чего ложка аккуратно выводится, слепок снимается, промывается проточной водой, дезинфицируется и передается в лабораторию.

Примеры работ «До» и «После»

Базальная имплантология с моментальной нагрузкой
Случай: Пациент жаловался на неудобный съемный протез.

Одномоментная имплантация в боковых отделах верхней и нижней челюсти

Случай: разрушение зубов под коронками в боковых отделах верхней и нижней челюстей.

Восстановление всех зубов за 4 дня — базальная имплантация

Случай: Отсутвие всех здоровых зубов на обоих челюстях.

Одномоментное удаление и базальная имплантация (сентябрь 2012)

Случай: разрушение жевательной группы зубов на нижней челюсти.

Изготовление конструкции

Это самый неопределенный по времени этап – в среднем на изготовление протеза уходит от 7-10 дней до 4-х недель.

Длительность изготовления протезной конструкции индивидуальна, и зависит от множества фактов:

  • технического оснащения и производительной мощности лаборатории;
  • степени ее загруженности;
  • материала, выбранного для создания протеза;
  • вида крепления;
  • локализации и обширности восстанавливаемого участка;
  • вида протезного изделия;
  • анатомических особенностей рта.

Приблизительное время изготовления некоторых видов протезов составляет:

  • одиночного – от 7 дней;
  • мостовидного – от 12 дней;
  • частичного, либо полного снимаемого – от 10 дней;
  • бюгельного на кламмерах – от 14 дней;
  • аналогичного изделия с замковым креплением – 3 недели;
  • съемного пластиночного с опорой на имплантат – 4 недели.

Эти сроки изготовления рассчитываются со дня получения оттиска до момента окончательного закрепления протезной конструкции во рту пациента стоматологом-ортопедом.

Некоторые лаборатории могут работать по системе «срочного заказа», и предлагать клиентам за доплату изготовить их протез гораздо раньше указанного в договоре срока.

Давайте разбираться вместе, может ли быть аллергия на коронки и какой материал наиболее опасен.

В этой публикации рассмотрим этапы изготовления полукоронок.

Здесь https://www.vash-dentist.ru/protezirovanie/nesemnyie-p/udachnogo-pri-parodontoze.html обсудим, возможно ли протезирование при пародонтозе.

Создание и установка различных протезов: из каких этапов состоит и сколько времени займет

Навигация по статье

  1. Этапы протезирования
  2. — санация
  3. — фотометрия
  4. — слепки
  5. — выбор модели протеза
  6. — дизайн и планирование
  7. — создание протеза
  8. — первая примерка
  9. — фиксация конструкции
  10. — обучение
  11. Сколько ждать изготовления?
  12. Сроки изготовления несъемных протезов
  13. Сроки изготовления съемных аппаратов
  14. Уход
  15. ВОПРОСЫ

вопрос специалисту
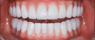
Современное протезирование зубов – это доступные и многовариантные решения восстановления эстетики улыбки и функции жевания. Готовясь к реставрации, пациент проходит несколько подготовительных этапов, в которые входят выбор врача и клиники, подбор методики протезирования и предварительное лечение – они могут занимать от пары дней до нескольких месяцев. Подробные материалы об этом можно найти на нашем сайте. Создание и установка конструкций тоже состоят из различных процедур. Какие этапы включает непосредственное протезирование зубов, и в какие сроки изготавливаются конструкции, расскажем подробно в этой статье.

Примерка и коррекция

Готовая протезная конструкция перед установкой требует обязательной примерки. Использование в процессе ее создания высокоточного оборудования, не даст 100% гарантии абсолютной идентичности ортопедического изделия особенностям зубочелюстного аппарата клиента.

Примерка длится по времени около 20 мин. В ходе данной процедуры врачом отмечаются участки, которые требуют дополнительного шлифования, либо уменьшения толщины поверхности.

Исходя из объема работы, необходимой для подгонки конструкции, на корректировку ее параметров может потребоваться от 2 до 4 часов.

Важно! Выше указано время примерки и доработки одного протеза. Когда же их несколько (к примеру, это одиночные), либо это большой мост, соответственно срок примерки и корректировки увеличивается.

Процесс фиксации

Для окончательной установки ортопедической конструкции, пациенту в стоматологическом кресле необходимо провести 40-60 мин. В это время:

  • препарированный зубной элемент обрабатывается антисептиком;
  • полость рта высушивается;
  • на опорный зуб наносится состав, повышающий адгезию;
  • на стоматологический цемент надевается коронка.

После этого, еще около 30-40 мин придется провести у стоматолога-ортопеда, чтобы специалист смог оценить качество произношения, степень комфортности и иные категории, свидетельствующие о правильности установки протеза или необходимости проведения еще одной корректировки, но уже на поставленной конструкции.

Важно! Коррекция может еще выполняться несколько раз, т.е. пока не будет достигнут желаемый результат, что продлевает период протезирования.

В видео специалист рассказывает, что нужно сделать в первую очередь для протезирования зубов.

Сколько по времени длится имплантация зуба

Продолжительность имплантации зубов от консультации до установки протеза, если используется классический протокол, составляет три месяца для восстановления зубов нижней челюсти, и два — верхней. Это в идеале, если полость рта находится в идеальном состоянии, а приживление проходит быстро и без осложнений.

Установка зубных имплантов имеет абсолютные противопоказания – туберкулез, онкологические процессы, диабет. Есть еще список относительных противопоказаний, преодоление которых делает имплантацию более длительной и затратной. Самая частая проблема – отсутствие должной гигиены зубов. Для курящих пациентов вредная привычка становится причиной снижения эффективности имплантации:

  • Заживление проходит тяжело;
  • Образуется зубной камень;
  • Постоянно идет интоксикация организма.

после удаления зуба запускается атрофия кости. Чем дольше человек живет без зуба, тем выше вероятность необходимости проведения наращивания недостающего объема костной ткани.

Преимущества применения инновационных технологий

Стоматология в последние годы активно развивается и претерпевает существенные изменения. Пациентам стали доступны инновационные технологии, благодаря чему процесс восстановления зубов стал более безопасным, оперативным надежным, комфортным и качественным.

К таким технологиям относятся:

  1. CAD/CAM-система. Это сокращенное наименование современной компьютерной технологии: где CAD — Computer-Aided Design — означает конструирование с применением компьютерных программ, CAM — Computer-Aided Manufacture — производство с помощью компьютерных технологий.
    Система дает возможность автоматизировать все этапы процесса изготовления ортопедической конструкции.
  2. Трехмерное протезирование (3D). Подразумевает включение высокоточных компьютерных технологий во все этапы протезирования, начиная от диагностирования состояния зубочелюстной системы, завершая разработкой и созданием протеза.
  3. Система CEREC. Это компьютерная технология, особенностью которой является изготовление протезной конструкции непосредственно на глазах пациента, т.е. за один визит в клинику.
  4. Nobel Procera. Компьютерная технология позволяет изготовить биосовместимые, высокоточные, идеальные по функциональности и эстетике, долговечные протезы.

Востребованность новых технологий в зубопротезировании постоянно растет. Их популярность объясняется рядом существенных достоинств:

  1. Экономится время пациента, т.е. сокращается срок всего процесса восстановления и количество плановых посещений врача.
  2. Уменьшаются денежные затраты за счет отсутствия оплаты за выполнение костной пластики при недостаточном объеме челюстной кости и сокращения посещений клиники.
  3. Сокращается и легче протекает реабилитационный период.
  4. Отсутствуют риски развития осложнений, связанных с неточной посадкой, излишним травматизмом, повреждением нервов и гайморовой пазухи.
  5. Конечный результат можно визуализировать, т.е. пациент на компьютере может ознакомиться с ходом выполнения протезирования и увидеть результат.
  6. Исходя из сложности случая, можно подобрать оптимальную модель протеза или точно определить безопасное место ввода имплантата.
  7. Травмирование тканей минимальное.
  8. Автоматизация процесса изготовления протезных конструкций помогает сделать их точными и удобными.
  9. Исключается человеческий фактор.

Продолжительность протезирования зубов

В зависимости от выбранного протокола имплантации период от установки импланта до установки протеза может занимать:

  • При одноэтапном методе — одну неделю, если костной ткани достаточно, десны и зубы в хорошем состоянии;
  • При классическом двухэтапном методе — примерно полгода, такие сроки являются наиболее безопасными для пациента, поскольку риск отторжения импланта — минимальный;
  • При двухэтапном методе, если у пациента проблемные зубы и необходима операция костной пластики, сроки увеличиваются еще на несколько месяцев.

Существуют протоколы с немедленной нагрузкой, когда временные протезы устанавливаются сразу после операции или же в течение трёх суток после ее проведения. Поскольку протезирование проводится до остеоинтеграции, увеличиваются риски развития воспалительных процессов и отторжения импланта.

Имплантация требует времени и терпения. При ответственном отношении к здоровью в целом и ротовой полости в частности, хороший результат оправдает усилия на каждом этапе.

Отзывы

Конкретные сроки протезирования в первую очередь зависят от вида устанавливаемой конструкции, объема работы, используемой техники восстановления зубов и количества этапов.

Точную продолжительность озвучивает врач после получения результатов обследования зубочелюстной системы пациента.

Рассказать о своем опыте прохождения протезирования, дать рекомендации о способах возможного сокращения длительности этого процесса, вы можете, оставив комментарий к этой статье.

Если вы нашли ошибку, пожалуйста, выделите фрагмент текста и нажмите Ctrl+Enter.

Теги несъемные зубные протезы протезирование

Понравилась статья? Следите за обновлениями

Предыдущая статья

Какая опасность того, что из-под коронки зуба сочится кровь?

Следующая статья

Виды опорно-удерживающих кламмеров в протезировании

Двухэтапная имплантация с отсроченной нагрузкой

Классическая имплантация зубов – проверенный временем и самый популярный протокол восстановления утраченных зубов. Среди особенностей методики отдельно нужно выделить повышенные требования к качеству и количеству челюстной кости, из-за чего часто приходится использовать операции по ее наращиванию – синус-лифтингу на верхней челюсти и остеопластике на нижнечелюстных сегментах. Данная технология является наиболее разумной при одиночных реставрациях, особенно во фронтальном отделе, где важнейшее значение имеет эстетика десневого контура.

Рейтинг
( 2 оценки, среднее 4 из 5 )
Понравилась статья? Поделиться с друзьями:
Для любых предложений по сайту: mag-stomatolog@cp9.ru