Срок службы зубных имплантов, на сколько лет их ставят

  • Что такое имплантация
  • Показания/противопоказания
  • Виды имплантатов
  • Факторы, влияющие на срок службы
  • Почему есть риск отторжения
  • Когда нужно менять
  • Рекомендации как продлить жизнь импланта

Среди всех видов стоматологической реконструкции, имплантация считается наиболее полноценным и эффективным методом, позволяющим восстановить одни или несколько зубов и даже полны зубной ряд. Поскольку процедура является дорогостоящей, часто возникает вопрос, сколько служат зубные импланты. Срок годности искусственных корней зависит от нескольких факторов, учитывать которые следует еще по проведения имплантации.

Что такое имплантация

В большинстве, люди обобщают методы по восстановлению зубов под понятие «протезирование». Это не совсем правильно. Имплантация является этапом реконструкции, представляющим собой установку искусственного корня (имплантата), на который в дальнейшем крепится коронка или цельный протез.

Вживление имплантата выполняется с предположительным сроком от 5 до 30 лет. На то, когда потребуется следующая имплантация зубов, срок службы изделия оказывает основное влияние, но существует и ряд других факторов, способных сократить не гарантийный период, а фактический срок эксплуатации.

Для того, продлить период ношения искусственных корней, необходимо до проведения мини-операции по установке штифов с особым вниманием подойти к подготовке к процедуре, правильно выбрать клинику/врача и сами изделия.

Выбирать стоматологическую клинику следует по следующим критериям:

  • Длительное присутствие на рынке медицинских услуг, хорошая репутация, высокий профессиональный уровень врачей.
  • Широкий спектр услуг в области имплантации – владение врачами различными методиками лечения.
  • Наличие лицензии на проведение зубной имплантации.
  • Оснащение клиники современным диагностическим и лечебным оборудованием, собственная зуботехническая лаборатория.

Выбирайте врача, имеющего опыт работы в имплантации. Помимо основного диплома о высшем медицинском образовании, у врача должны присутствовать сертификаты, подтверждающие его квалификацию и умение работать с продукцией конкретных брендов. Как правило, ведущие мировые производители зубных имплантов допускают к работе со своей продукцией только врачей, прошедших обучение у специалистов компании.

Попытайтесь собрать, как можно больше информации о деятельности клиники и специалистах. Просматривайте отзывы на официальных сайтах, тематических форумах в интернете, записи в «Книге жалоб и предложений».

Проконсультируйтесь с несколькими врачами из разных клиник и сравните мнения специалистов по поводу вашей проблемы.

Обязательно составляйте с клиникой договор на оказание медицинских услуг, где должны быть указаны все особенности гарантийных обязательств, предоставляемых в случае неудачного лечения.

После имплантации строго соблюдайте все назначения врача, не пренебрегайте профилактическими осмотрами.

Имплантация зубов – это сложная многоэтапная процедура, в которой задействовано множество врачей и специалистов, в ходе ее выполнения используется дорогостоящие материалы и оборудование, поэтому она не может стоить дешево. Очень часто дешевая цена, предлагаемая некоторыми клиниками, – это просто рекламный трюк, не гарантирующий решения ваших проблем.

В солидных клиниках при установке импланта в истории болезни указывают номер регистрационного удостоверения, который имеется у каждого качественного изделия.

Показания/противопоказания

Проводится имплантация исключительно по показаниям. Определяет необходимость установки искусственных корней стоматолог, проводящий осмотр пациента на первом приеме.

Необходимость вживления имплантатов подтверждается при следующих показаниях:

  • отсутствие одного зуба;
  • отсутствие 2-х и более зубных органов, при соседнем расположении;
  • отсутствие последних зубов без возможности восстановления иными методами;
  • адентия полная (врожденная патология, характеризующаяся отсутствием зубов);
  • наличие причин препятствующих ношению съемного протеза (например, рвотный рефлекс);
  • болевые ощущения, вызванные функциональной окклюзией;
  • отсутствие в верхней челюсти альвеолярных отростков с сопутствующим полным отсутствием зубов;
  • анатомические дефекты, возникшие вследствие болезней, механического воздействия, а так же как следствие нарушений при внутриутробном развитии или генетической предрасположенности.

В профессиональной стоматологии пациента дополнительно отправляют на диагностику для определения противопоказаний:

  • тяжелые болезни сердечно-сосудистой системы;
  • онкологические заболевания злокачественного типа;
  • болезни нервной системы;
  • патологии крови (особенно плохая свертываемость);
  • заболевания соединительных тканей тяжелого типа;
  • туберкулез открытой формы;
  • печеночная/почечная недостаточность в период обострения;
  • повышенный тонус жевательных мышц в сочетании с бруксизмом;
  • диабет сахарный;
  • заболевания иммунодефицита;
  • аллергическая реакция на обезболивающие препараты;
  • возраст до 18 — 22 лет (в зависимости от показаний);
  • пристрастие к наркотикам или алкоголю.

Если пациенту будет проведена имплантация при противопоказаниях, срок годности имплантов зубов сократиться до 1 — 2 месяцев, а то и нескольких дней. При противопоказаниях у 90% пациентов происходит отторжение конструкции с развитием сопутствующих осложнений.

Виды имплантатов

В стоматологии применяются имплантаты из титанового материала, поскольку он считается самым надежным и безопасным. Все изделия разделяются на несколько видов по конструкции и форме. В зависимости от показаний, подбирается наиболее подходящий вариант установки. Помимо показаний, на выбор модели имплантата влияет и их стоимость. Современные конструкции, как правило, стоят дороже, но более удобны и долговечны.

По виду конструкции изделия подразделяют на два типа: разборные и неразборные. На срок службы данная характеристика влияет, только по причине необходимости замены коронок. Так несъемные конструкции могут потребовать полной замены протеза через 5 — 16 лет, а съемные могут прослужить до 12 лет.

На длительность эксплуатации влияет форма искусственных корней, поскольку именно от того, какого вида имплант зависит надежность установки протеза.

  1. Пластиночные — ввинчиваются в костную ткань, расположенную под небом;
  2. Корневидные — устанавливаются в корневые каналы;
  3. Комбинированные — сочетают оба предыдущих вида, размещаются в корневом канале.

Наиболее долговечными считаются штифы, ввинчиваемые в корневой канал, так как при таком типе установки удается достичь отличной фиксации.

По материалу изготовления отличают металлокерамические с гарантией около 12 лет, изделия из керамики — около 7 лет и металлопластмассовые — не более 3 лет. Так же существуют имплантаты из алюминия и циркония, срок их службы более 15 лет.

Факторы, влияющие на срок службы

Решившись на имплантацию, необходимо предварительно ознакомиться со всеми требованиями к надежности изделий. Срок службы имплантов зубов в среднем — 15 лет, но рассчитывая на установку надежной конструкции, нужно понимать, что стоимость будет не дешевой.

Критерии по характеристики имплантов:

  • прочность — устойчивость к постоянным нагрузкам;
  • качество изделия;
  • тип технологии производства;
  • материал изготовления;
  • метод установки.

Большую роль, как уже было упомянуто, играет состояние здоровья пациента. Перед имплантацией следует произвести санкцию ротовой полости. Наличие даже незначительных воспалений или кариеса предполагает риск отторжения имплантатов.

Важным моментом является профессионализм врача. если сама конструкция будет установлена ненадежно, то вероятнее всего произойдет смещение или выпадение штифа.

Гарантии производителя и стоматологии

При имплантации лучше знать известных производителей, которые имеют положительные отзывы. Как правило, всегда можно найти информацию об определенных имплантах, и сколько служат изделия данного производителя. Однако, стоит учитывать, что стоматология и производитель дают разную гарантию, поскольку производитель исходит из характеристик изделия, а стоматологическая компания учитывает условия эксплуатации.

Импланты бывают бюджетного, среднего и премиум класса. Такие производители, как AstraTech, XIVE Friadent и Nobel дают пожизненную гарантию, их изделия относятся к классу премиум и имеют повышенные показатели прочности и приживления.

Среднеценовые имплантаты имеют срок службы (от производителя) — в среднем 20 лет. На искусственные корни гарантия производителя составляет не более 10 лет.

Стоматологии, как правило, устанавливают гарантию не более 3 лет, поскольку пациенты часто не соблюдают рекомендации доктора по уходу на протяжении всего срока эксплуатации. Предоставленная гарантия, это уверенность в сделанной врачом работе.

Замена импланта

Перед человеком, который задумывается об установке современного протеза, рано или поздно встает вопрос, сколько служит имплант зуба и что потом. Несмотря на длительную гарантию от производителя, сами имплантологи дают гарантию на меньший срок службы конструкции, который обычно составляет 1−2 года. Гарантийные сроки на свои услуги любая стоматологическая клиника вправе устанавливать самостоятельно, законодательством это не регламентируется.

Столь маленькая гарантия от врача обусловлена тем, что она распространяется только на качество работы имплантолога. Если во время операции были допущены ошибки, имплантат будет отторгнут в течение одного-двух лет (вероятность этого менее 5%). Когда такая неприятность происходит спустя длительный срок, причиной, скорее всего, является неправильный уход за полостью рта или ухудшение здоровья пациента. Установить истинную подоплеку отторжения конструкции не всегда возможно.

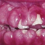
Добросовестные имплантологи в этом случае берутся за переустановку протеза. Но часто бывает и так, что пациент вынужден обращаться для переустановки имплантов в другую клинику. Это происходит по причине того, что в установке нового имплант по гарантии ему отказали или он утратил доверие к тому доктору, который проводил ему первичную операцию. Симптомами того, что имплант нуждается в замене, служат его подвижность и воспаление тканей вокруг конструкции. В этой ситуации появится болезненность, кровоточивость, может выделяться гной.

Такое состояние называется периимплантитом. В дальнейшем происходит отторжение импланта. Если врач определяет, что срок службы конструкции подошел к концу, назначается хирургическая операция по извлечению стержня из челюсти. Повторно ставить имплант можно через 1−2 месяца. Если к его установке выявлены противопоказания, пациенту предлагают альтернативные методы протезирования.

Почему есть риск отторжения

Утверждать, что имплантат 100% не будет отторгнут, не может ни один производитель или стоматолог, поскольку иногда осложнение происходит просто из-за индивидуальной реакции организма на инородное тело.

Предоставляемая стоматологией гарантия, это защита пациента от осложнений в случае, если произошло отторжение:

  • из-за ошибки врача при установке (несоблюдение санитарных норм, неправильная установка и т. д);
  • по причине несоответствия качества изделия.

Если пациент не соблюдал рекомендации, либо имплантат был отторгнут спустя 2 — 4 года и более, то тут не идет речь о врачебной ошибке или плохом качестве. Вероятнее всего, в организме пациента протекают патологические процессы, которые и становятся причиной. В таких случаях, клиника, конечно, ответственности не несет.

Обратите внимание! По статистике, импланты отторгаются только у 2% пациентов.

Мы устанавливаем долговечные, безопасные безметалловые коронки

Центр стоматологии доктора Левина располагает собственной зуботехнической лабораторией, занимающейся изготовлением индивидуальных зубных протезов для пациентов клиники. Мы устанавливаем долговечные, безопасные безметалловые конструкции. Качество достигается за счет материалов и цифровых технологий производства.


Левин Дмитрий Валерьевич
Главный врач, к.м.н.

Когда нужно менять

После проведения имплантации следует каждые 6 месяцев посещать стоматолога. Как только специалист обнаруживает признаки отторжения изделия или же видит, что конструкция уже не отвечает качественным требованиям, принимается решение о снятии и возможной замене конструкции.

Смена импланта необходима, если наблюдается:

  • подвижность штифа;
  • выраженная боль в месте крепления;
  • кровоточивость;
  • сильная отечность;
  • признаки нагноения;
  • отек лица в области установки имплантата.

Если пациент сам замечает такие признаки, то нужно обращаться к специалисту сразу. Подобная симптоматика может возникнуть как в первые дни, так и спустя годы.

Рейтинг
( 1 оценка, среднее 4 из 5 )
Понравилась статья? Поделиться с друзьями:
Для любых предложений по сайту: mag-stomatolog@cp9.ru