Dental care products for orthodontic treatment

What is an irrigator

Irrigator

- This is a device used mainly for high-quality oral hygiene. A high-pressure apparatus produces a stream of water and light delivered under strong air pressure. With the help of microbubbles in the water flow, the mouth is completely cleansed of deposits and bacteria. Along with a specialized toothbrush and optimal toothpaste, an oral irrigator is a device that should be on anyone's shelf, especially if they suffer from bleeding gums. These devices are highly recommended by dentists for all those who have dental problems (for example, people with braces, dentures, orthodontic appliances, implants or periodontitis). The nozzles can be used with both water and washing solution.

Operating principle of the irrigator

Externally, the irrigator is similar to an electric toothbrush, equipped with a water tank and various attachments. Instead of a brush, the device has a special tip with a hole for water supply. The operation of the irrigator is based on the principle of a hydraulic compressor. It delivers a stream of pressurized water with fairly strong pressure. The tip of the device is aimed at the teeth, gums, cheeks and tongue. The liquid washes away plaque and food particles, which are a breeding ground for bacteria.

You should start using the irrigator with the most delicate mode in order to get used to the action of this personal hygiene item and not cause damage to soft tissues. The device should be held at right angles to the teeth, with the head tilted so that the liquid flows freely from the mouth. For normal care, it is recommended to use the irrigator up to three to four times a week with a five-minute exposure time. To care for braces, crowns, implants and for crowded teeth, the frequency of use of the device can be daily. In this case, using the device is permissible twice a day for 10 minutes.

When and who can use the irrigator?

An important question is who can or should use the sprinkler. According to experts, irrigators can be used by all those who try to take maximum care of proper oral hygiene, especially people with bleeding gums, narrow interdental spaces, the presence of implants, bridges, braces, dentures and other orthodontic appliances. The device is also needed for those who suffer from high tooth sensitivity and are susceptible to frequent dental diseases (especially chronic ones, for example, stomatitis). Gentle and effective massage of the gums, which is carried out using low-pressure irrigation, strengthens them, thereby reducing the problem of bleeding and in the long term can even stop this problem. Thanks to the elongated shape of the sprinkler tips, the liquid can more easily reach hard-to-reach corners, unlike dental floss. You won't have to put more effort into reaching the floss or toothpick into the space on the back panel.

Irrigator safety

Before starting to use the irrigator, it is recommended to visit a specialist. The device should be used with caution if you have severe gum problems. You should not use the device during an exacerbation of dental diseases or if you have problems with the cardiovascular system. Otherwise, the use of the irrigator is safe.

Doctors at the French Dental Clinic will help you choose the appropriate irrigator model and tell you in detail about their types and functions. In addition, they will create a plan for using the irrigator so that you can be confident in the effectiveness of this device.

Types of irrigators

You can find all kinds of devices of this type in stores and on the Internet. Most models are wired, wireless and connected using a special system to the faucet. The first type, of course, requires a constant connection to an outlet. Although they are the most viable and the pressure of these devices is the highest. Wireless devices are mobile, but highly unstable. Typically, a charged battery can last up to 2 weeks with daily use. The pressure in this model is somewhat weaker, but they are convenient to use on business trips, travel, etc. A faucet-connected irrigator, in turn, requires neither a battery nor electrical lines. The pressure depends on the tap water supply. Increasing or decreasing the pressure is not possible, which adds some inconvenience when using the device, for example, by a child.

Which irrigator is the best for you - decide for yourself, it all depends on your preferences and the recommendations of your dentist. Later we will return to how to choose this device.

Types of toothbrushes:

Manual brush

When carrying out orthodontic treatment, special orthodontic toothbrushes are used.

A special feature of these brushes is the special arrangement of the bristles and the presence of a V-shaped cutout. Thanks to it, shorter bristles clean the surface of the bracket, and longer ones clean the surface of the tooth. In addition, an orthodontic brush should have softer bristles than a regular one so as not to cause damage to the gums during brushing.

This type of brush is preferable when carrying out

orthodontic treatment.

Electric toothbrushes:

Mechanical:

When treating with braces, it is necessary to use special attachments for electric mechanical toothbrushes: they should be narrower and softer. And I would like to note that during the treatment process, the brushes wear out quite quickly and the attachments will have to be changed about once a month.

Sonic and ultrasonic

The difference between these two types of brushes is the frequency of vibration.

The sonic brush operates at an oscillation frequency of 16 - 20 thousand. GC.

A real ultrasonic toothbrush should have a piezoelectric element in close proximity to the bristles. Using such a brush, you don’t even need to make the usual cleaning movements - you just need to wet the brush head and apply it to your teeth for 5-10 seconds. An ultrasonic brush has an antibacterial effect (kills germs), cleans teeth from soft plaque and tartar, and acts not only at the point of direct contact, but also within a radius of 4-5 mm.

The impact of ultrasonic vibrations can be quite aggressive in the presence of fillings, veneers, braces and areas of softened enamel. Therefore, you can only use brushes whose manufacturers recommend their use in orthodontic treatment.

Keep in mind that it is not so much important which toothbrush you choose, but the care with which you brush your teeth.

A toothbrush is the main, but not the only tool. To reduce the risk of tooth decay or white chalky spots, ADDITIONAL HYGIENE PRODUCTS are a must!

These include:

  • irrigators
  • interdental brushes
  • interdental floss
  • monotuft brushes

Let's talk in more detail about each of them:

1) Irrigators

Why is just a toothbrush not enough? After eating, a favorable nutrient environment for billions of bacteria is created in the human mouth. Some of these microorganisms, when constantly exposed, cause bad breath and subsequently lead to tooth decay. This is why it is necessary to clean your mouth as thoroughly as possible. Many dentists recommend using irrigators, regardless of whether you wear braces or not. But, unfortunately, most people still use only a brush and toothpaste.

So what is an irrigator?

An irrigator (from the Latin irrigo - to irrigate, to water) is a device for carrying out hygienic procedures, the principle of which is to supply a jet of liquid under high pressure. This jet can easily penetrate those hard-to-reach areas where neither a toothbrush nor a toothpick can reach. As a result, food debris and soft plaque are removed (washed out) from the interdental spaces, periodontal pockets, and the area of ​​orthopedic and orthodontic structures and implants.

A jet of water supplied under pressure also gently massages the gums, leading to improved microcirculation, reducing bleeding and strengthening them.

The irrigator consists of a mechanical part, a water tank, and a handle with a nozzle.

Depending on the company and model of the irrigator, the attachments can be very diverse:

  • standard nozzle (used for daily care)
  • with a thin spout (for rinsing periodontal pockets)
  • orthodontic (with additional soft bristles)
  • attachments for implants, crowns, bridges (attachments with three tufts of bristles)
  • for cleaning the tongue (in the form of a spatula)

Irrigators can be stationary or road-mounted (with a battery).

There are special liquids for irrigators on sale that create an additional feeling of freshness, strengthen the gums and have an antiseptic effect. (liquids containing chlorhexidine are not suitable for everyday use)

Please note that using an irrigator does not exclude the use of a toothbrush, it only helps make your teeth even cleaner.

Compliance with all hygiene rules during orthodontic treatment is necessary. And the more carefully you take care of your oral cavity at home, the fewer problems with your teeth and gums you will have in the future.

2) Interdental brushes

Interdental brushes are designed to clean interdental spaces, the cervical area and the area around braces.

Cleaners vary depending on:

  • handles (can be of different lengths, most often patients like a short handle - it is easier to manipulate in the oral cavity, but the choice is very individual);
  • working part shapes. The working part can be of various shapes: cylindrical, conical or curved (conical brushes are traditionally considered orthodontic);

  • size of the working part. Dimensions usually vary from 0.4 to 1.1 mm.

If the patient has sufficiently large gaps between the teeth, then it is more convenient to use thick brushes, but if, on the contrary, there is severe crowding, it is more convenient to use thin ones. A brush of the correct size completely fills the space between the teeth and braces and easily penetrates into all the recesses;

  • manufacturing material. Nylon is most often used for the pile, and for the metal rod - a medical alloy that is not susceptible to oxidative processes in the oral cavity. There are also silicone brushes.

They are made without the use of metal, have elastic and atraumatic bristles and resemble a toothpick in shape.

The orthodontist can give recommendations on the selection of brushes, but most often the patient understands through experience what is more convenient for brushing teeth and which brush to choose.

For ease of selection, there are sets of brushes of different sizes (assorted).

In our clinic, we give a trial set of hygiene products when fixing the braces system, which can determine what is right for you.

We also have a large selection of interdental brushes of various types and sizes for sale.

It is recommended to change the brush once every 2 weeks.

It is necessary to use brushes after 3 minutes of brushing with a special toothbrush. During the process, it is necessary to clean all interdental spaces and areas under the arch and around the bracket. It is advisable to do this cleaning after every meal (at least 3 times a day). No paste is needed to use brushes.

3) Interdental threads (floss)

When treating with a brace system, it is impossible to use regular dental floss - since all the braces are connected to each other by an arch, which prevents the thread from penetrating into the interdental space.

Therefore, for those who are accustomed to using dental floss and suffer without using it during treatment with braces, they can use brushes or special Superflosses.

SuperFloss is a dental floss consisting of one (or two) hard ends and an unwaxed wide fiber in the middle. Using the hard tip, you can thread the floss into the interdental space and then use the middle part to clean the interdental space.

It is believed that unwaxed dental floss, when it becomes fiber-free, has better contact with the approximal (lateral) surfaces of the teeth and, accordingly, cleans them better.

4) Mono-tuft brushes

A mono-tuft toothbrush consists of a thin handle and one tuft of bristles (“mono” - hence the name) located perpendicular to the handle. A mono-beam brush allows for spot cleaning, which is very convenient if there is a brace system in the oral cavity, as well as orthopedic structures and implants. Among other things, the direct indication for using a monotuft brush is cleaning the distal (posterior) surfaces of molars.

The working part of a monotuft brush can be of different shapes (conical and rounded) and of different hardness (from hard to ultra-soft).

For example, the TePe Compact Tuft mono-tuft brush has a short, rounded tuft consisting of 700 ultra-soft bristles.

With such a brush you can thoroughly clean the cervical area and the area around the bracket without injuring the gums.

Due to the size of the brush and the softness of the bristles, TePe Compact Tuft has no restrictions on use, with the exception of babies under one year of age.

The Interspace TePe mono-beam brush is an angled brush with a pointed beam.

This brush is also very convenient for people with braces, since with a thin tuft of bristles you can clean the areas under the arch, as well as around the braces themselves.

For this brush there are attachments of different hardness. Each hardness has a specific color. Replaceable nozzles with a blue base have medium hardness (medium), with yellow ones - soft hardness (soft), and with red ones - extra soft hardness (extra soft).

Price of irrigators

The cost of these devices depends on many factors, the main ones being:

  • The manufacturer, or more precisely, its promotion and fame - the higher it is, the more expensive the device.
  • Type of food. We have already said above that there are stationary (wired), battery-powered (wireless) and devices connected to the water flow. As a rule, plug-in and fixed ones are the cheapest, but this is not the main indicator.
  • Functionality. If the device allows you to regulate water pressure and use other functions, it will have a higher price than the simplest models.
  • Availability of attachments. The more additional attachments, the more expensive the sprinkler.

Also, other factors influence the price of the irrigator, such as the seller’s markup, country of manufacture, etc.

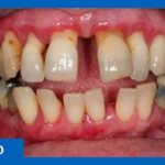
Gum diseases and their symptoms

Depending on the location of inflammation, there are:

  1. Gingivitis is an inflammatory process that appears on the gums around the tooth, but does not affect the dental tissues. This is a milder form of the disease. Manifested by redness, swelling, discomfort, bleeding. It can occur in acute and chronic form.
  2. Periodontitis is one of the most insidious pathologies. As it develops, inflammation spreads to the supporting apparatus of the tooth. This is already stage II of the disease. At this time, bad breath appears, the gums become loose and, due to their receding, the teeth appear longer. In areas of inflammation, pus may appear when pressure is applied.

If left untreated, periodontal disease develops (stage III), which is extremely difficult to treat and brings a lot of suffering to the patient. To prevent the development of the disease, you must immediately consult a doctor at its first signs.

How to safely use an oral irrigator?

  • Visit your doctor.

It is recommended to visit a dentist before using the device.

There are a number of contraindications to brushing teeth with an irrigator, in particular acute stages of periodontitis, gingivitis, increased bleeding of the gums and other conditions.

Also, the condition of teeth and gums differs from person to person; many have dental structures in their mouths that require special care. Therefore, it is important to consult with your dentist so that he can select the optimal mode for using the device.

  • Start with minimal pressure.

You should know that the irrigator requires some getting used to. If you immediately set high water pressure, you can injure your gums and cause pain. Dentists say it takes about a week for your mouth to adapt to this type of brushing. Therefore, use the device at the minimum pressure for seven days and only then begin to gradually increase it to comfortable values.

  • Only individual attachments.

Different people cannot use the same nozzle because it is unhygienic. If the whole family will be using the appliance, make sure there are enough attachments for everyone. If necessary, you can buy them separately from the device. Also, for safety reasons, it is recommended to change the attachments every 3-6 months.

  • Children are under adult supervision.

A child from 6-7 years old can clean the surface of the teeth and oral cavity with an irrigator only in the presence of an adult. Follow these simple tips, and using an irrigator will give you a beautiful smile, healthy teeth and only positive emotions.

Rating
( 2 ratings, average 5 out of 5 )
Did you like the article? Share with friends:
For any suggestions regarding the site: [email protected]
Russian | English
Для любых предложений по сайту: mag-stomatolog@cp9.ru