Элайнеры для выравнивания зубов – прозрачная альтернатива брекетам!


Невидимые элайнеры для зубов вместо брекетов

Исправление прикуса с применением прозрачных элайнеров стало широко распространяться по всему миру с 1998 года, когда американская компания Align Technology начала выпускать элайнеры под брендом Invisalign®.

Важно!

Принципиальное отличие кап-элайнеров от брекетов заключаются в том, что элайнеры являются съемными ортодонтическими конструкциями.

Плюсы и минусы элайнеров

Элайнеры для выравнивания зубов по внешнему виду напоминают капы для отбеливания или для лечения непроизвольного скрежета зубами (бруксизма). Конструкции изготавливают по индивидуальным слепкам с зубов пациента в зуботехнических лабораториях или на специализированных заводах.

Элайнеры имеют следующие плюсы.

  • Невидны на зубах. Прозрачные элайнеры практически незаметны.
  • Плотное прилегание. Максимально плотно прилегают к поверхности зубов, за счет чего не вызывают дискомфорта у пациентов.
  • Удобство и комфорт. В плане эстетики элайнеры во много раз превосходят даже самые изящные сапфировые брекеты. А по сравнению с лингвальными аппаратами элайнеры намного удобнее при ношении.
  • Нет ограничений в питании и сложностей в уходе. Съемные элайнеры не препятствуют проведению гигиены полости рта и нормальному приему пищи.
  • Безопасность. Лечение элайнерами не вредит зубам: эмаль сохраняет свой первоначальный вид, а риск возникновения кариеса не повышается.

Среди минусов элайнеров специалисты отмечают определенные ограничения в показаниях, а также высокую стоимость лечения для пациентов.

Как рассчитывается стоимость элайнеров

Стоимость курса рассчитать лучше заранее, чтобы принять решение и иметь возможность оплатить его.

Некоторые производители предлагают рассрочку платежей. Чтобы выбрать производителя конструкций для терапии, нужно учесть несколько факторов: не все применяют 3Д технологии для составления прогноза, материал отличается, и имеет разное влияние на слизистую.

Технологиями создания объемной модели зубов с пошаговой корректировкой прикуса и их совершенствованием занимаются Инвизилайн, 3Д Смайл, Стар Смайл, Авантис 3Д. Врач вместе с пациентом видит на компьютере программу, в которой смоделировано изменение его прикуса с течением времени под воздействием элайнеров.

3Д-сетап каждый производитель предлагает свой, это закладывается в цену эйлайнеров, поскольку программа была разработана с участием опытных стоматологов. И благодаря программе можно с высокой степенью точности показать результативность и эффективность.

Ортоснэп не имеет такой программы, поэтому пациенты не платят за сетап. Накладки изготавливаются так: снимаются слепки с зубов, создаются гипсовые модели, по которым формируются капы. Есть вероятность неточного исполнения, для этого нужна подгонка. Тратится время на транспортировку гипсовой модели в США.

Стар Смайл предлагает бесплатную визуализацию конечного эффекта после. Это дает возможность сэкономить от 5000 до 55000 рублей. Авантис 3Д предлагает своим клиентам бесплатную консультацию и сетап, а также разработку терапии.

Перед началом терапии лучше заранее знать, примерно на какую сумму можно рассчитывать, чтобы сделать выбор. Рекомендуем проконсультироваться у нескольких специалистов.

Можно воспользоваться всеми бесплатными предложениями разных клиник, чтобы выяснить, какой вариант лучше в вашем случае. Рассмотрев все способы исправления кривых зубов, можно принять объективное решение.

Полная цена терапии от разных производителей отличается по нескольким причинам:

  1. Страна производства.

    Американские элайнеры дороже из-за транспортировки, консультации иностранных специалистов, материала изделия, а также курса валюты на момент оплаты.

  2. Степень тяжести патологии.

    Для достижения желаемого терапевтического эффекта при легкой степени аномалии нужно меньшее количество корректирующих единиц. Это снижает общую цену терапии. В случае сильного дефекта количество деталей и визитов к врачу на контроль растет, что увеличивает цену.

  3. Популярность бренда.

    Изделия от известных брендов с большим опытом работы априори дороже, чем от недавно появившихся на рынке стоматологических услуг.

  4. Сетап 3Д.

    Компании, не использующие сетап 3Д (Ортоснэп), не включают его стоимость в общую цену, значит, конечная цифра будет немного ниже. Но отсутствие трехмерного прогнозирования результата может отрицательно сказаться на самом ходе коррекции прикуса. Приходится изменять терапию по ходу, делать новые капы, которые были не запланированы ранее, что увеличивает сроки.

  5. Материал изделий.

    Производители, имеющие большой опыт создания кап, имеют проверенное временем качество элайнеров. Риск развития аллергии, раздражения минимизирован. В целом, материал используется один и тот же, за исключением небольших различий. Его качество постоянно совершенствуется.

Лечение элайнерами

Для достижения лучших результатов лечения элайнеры необходимо носить по возможности круглосуточно, снимая только для проведения гигиенических процедур и во время еды. Каждая пара кап-элайнеров из персонального набора пациента используется в течение определенного периода, а затем меняется на следующую. Длительность лечения элайнерами совпадает по срокам с коррекцией прикуса брекет-системами и варьируется от 9 месяцев до 2 лет в зависимости от особенностей аномалии и от того, насколько ответственно пациент соблюдает рекомендации врача в процессе лечения. Раньше исправление прикуса элайнерами проводили только взрослым и подросткам, у которых сформировался постоянный прикус, а рост челюстей уже завершился. Сегодня есть специальные элайнеры для детей, разрешенные к применению с 6 лет.

Элайнеры следует регулярно промывать теплой водой с добавлением специального средства для очистки, рекомендованного производителем. В них не следует курить, поскольку это может спровоцировать изменение цвета конструкции. Периодичность визитов к ортодонту для контроля процесса лечения и коррекции — примерно один раз в 2 месяца.

OrthoSnap («ОртоСнэп»)

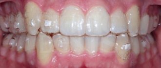
Каппы для выравнивания зубов как на фото ниже – это OrthoSnap (США). Они появились на российском рынке в 2010 году. Созданы из прозрачного поликарбоната, который разрешен к применению в мировой стоматологической практике, гипоаллергенен, не вызывает раздражения слизистой.


На фото показаны капы OrthoSnap

Производитель подчеркивает, что модель была создана с учетом опыта конкурентов и выгодно отличается от аналогичных по нескольким критериям:

  • вместо компьютерного 3D-сканирования для изготовления элайнеров применяется физическая реальная модель, в точности копирующая челюсти каждого конкретного пациента,
  • в одном комплекте каппы могут иметь разную толщину, что удобно, если зубам на одной челюсти требуется разная сила воздействия,
  • стоимость лечения на 30% ниже2, чем у конкурентов, что чрезвычайно выгодно для многих пациентов.

Срок поставки капп, созданных по слепкам зубов пациента, составляет примерно 4–7 недель. Производятся они только в США, на чем особенно акцентирует внимание производитель. Поэтому если вам предлагают «ОртоСнэп» российского производства в кратчайшие сроки, то речь идет о подделке.

OrthoSnap необходимо носить от 20 до 22 часов в день. Менять старый комплект на новый нужно каждые 10–15 дней. Последний элайнер в серии выполняет функцию ретейнера и носится на завершающем этапе лечения около 4 месяцев в течение 6–12 часов каждый день. Допустимо применение этих капп только с 12 лет, когда произошла смена молочного прикуса на постоянный.

«В студенчестве у меня был печальный опыт ношения брекетов – это было неудобно, да и результатом осталась недовольна, т.к. зубы после снова разъехались. Позже решила вернуться к вопросу, но мне опять предлагали брекеты – я была в отчаянии. Стала смотреть в интернете и наткнулась на отзывы про OrthoSnap, они делаются в Нью-Йорке. Спросила у врача, а он начал говорить, что это разрекламированная фигня… Как сейчас понимаю, он просто не владел технологией и ему проще было всем «впаривать» брекеты. Целенаправленно уже пошла искать тех, кто работает с каппами и не пожалела ни капли – они удобные, вообще незаметны, дикцию не портят, если надо, то спокойно их снимаешь и ешь или чистишь зубы».

Софья, отзыв со стоматологического портала gidpozubam.ru

Показания и противопоказания к элайнерам

Практически все виды элайнеров эффективны при исправлении увеличенных промежутков между зубами, устранении скученности, различных нарушений прикуса. Их применение для закрепления эффекта после лечения на брекет-системах также дает хорошие результаты. У каждого бренда элайнеров есть своя специфика, и производители нередко указывают, в каких случаях целесообразно лечение с использованием элайнеров. К сожалению, коррекция сильной скученности или серьезных дефектов прикуса по силам далеко не всем видам прозрачных кап.

Звезды, которые носили элайнеры

Большинство знаменитостей не могут позволить себе носить брекеты, поэтому элайнеры Invisalign стали для них настоящим спасением.

Жизель Бюндхен

Единственным недостатком внешности Жизель когда-то был кривой передний зуб, ради выравнивания которого она и надела элайнеры.

Зак Эфрон

Многие знаменитости гордятся своей щербинкой, но только не Зак Эфрон. Промежутки между передними зубами придавали ему простецкий вид. Благодаря ношению элайнеров внешность актера изменилась кардинальным образом.

Хлои Кардашян

Светская львица Хлои всегда считала, что у нее неровные зубы, и мечтала их исправить, однако решилась на ортодонтическое лечение только в прошлом году.

Джастин Бибер

Любимец девочек-подростков сладкоголосый Джастин ни за что не согласился бы разрушить свой имидж и надеть на зубы скобки. Сделать улыбку идеальной ему помогла система Инвизилайн.

Ева Лонгория

Отчаянную домохозяйку Еву Лонгорию редко терзают сомнения. Решилась исправить кривые зубы – выбрала Invisalign – и дело с концом!

Производители элайнеров для выравнивания зубов

Какие элайнеры лучшие? Сегодня ортодонты могут предложить пациентам несколько вариантов кап разных производителей. Давайте подробнее рассмотрим плюсы и минусы элайнеров самых популярных брендов.

  • Invisalign
    В 1998 году американская компания Align Technology выпустила прозрачные элайнеры под брендом Invisalign. Именно они первыми появились в России. На сегодняшний день элайнеры Invisalign производятся на заводах Align Technology и используются для лечения аномалий прикуса самой разной степени сложности. Набор элайнеров с завода производителя доставляется в клинику в среднем в течение 14 дней с даты подтверждения врачом плана лечения.
  • Star Smile
    Элайнеры производятся в России в производственном центре компании. Срок изготовления — 10 дней.
  • ОrthoSnap
    Вслед за Invisalign на американском рынке появились элайнеры ОrthoSnap, которые с самого начала своего существования стали преподноситься как недорогая альтернатива известному бренду. Безбрекетное лечение зубов капами ОrthoSnap поначалу действительно стоило дешевле, но имело ряд существенных недостатков. Дело в том, что конструкции изготавливались в обычной зуботехнической лаборатории по гипсовым моделям (Invisalign и Star Smile используют 3D-модели). Что касается показаний, то аномалий, поддающихся лечению ОrthoSnap, не так много.

Сравнительная таблица элайнеров различных производителей

БрендПроизводствоПоказанияЭффективность
Invisalign (США)Высокотехнологичное производство под контролем зубных техников со специальным образованием.Большинство аномалий положения зубов и прикуса.Предсказуемый результат вне зависимости от длительности лечения.
Star Smile (Россия)Собственный производственный центр в России.Большинство аномалий положения зубов и прикуса.Предсказуемый результат с гарантией 5 лет.
OrthoSnap (США)Стандартное производство в зуботехнической лаборатории.Скученность, щели между зубами, удлинение или укорочение зубов; перекрестный прикус.Непредсказуемый результат.

Помимо вышеперечисленных марок на российском стоматологическом рынке существует также множество других менее популярных производителей. Часто подобные капы выдаются за бренды, знакомые пациенту. Поэтому врача-ортодонта следует выбирать на официальном сайте компании-производителя, чтобы не стать жертвой обмана.

Как проходит лечение каппами Invisalign?

Выравнивание зубов и исправление прикуса на Invisalign имеет определенные особенности и преимущества. Если сравнивать с классическими брекет-системами, капа Инвизилайн совершенно незаметна, не влияет на дикцию, не требует соблюдения какой-либо диеты, не осложняет ежедневную гигиену, не травмирует и не натирает ткани полости рта. Система также не доставляет таких длительных болезненных ощущений, как брекеты, так как перемещение зубов происходит дозированно и поэтапно. Каждая каппа — один «шажок».

Этапы выравнивания зубов с Инвизилайн

Шаг первый.

На первичной консультации проводится доскональная диагностика, позволяющая поставить диагноз и спланировать лечение, назначается подготовительная терапия (если требуется), проводятся санация полости рта и профессиональная чистка.

Шаг второй.

С челюстей пациента делаются слепки, по которым изготавливаются максимально точные анатомические модели. Проводится фотопротокол. По результатам диагностики и замеров в специальной программе Clean Check планируется поэтапно будущее лечение и создается 3D-модель. С помощью программы возможно увидеть весь процесс перемещения зубов и оценить будущий результат.

Шаг третий.

Вся необходимая информация отправляется в лабораторию Align Technology, и на сертифицированном заводе, находящемся в Штатах, изготавливаются набор элайнеров Invisalign.

Шаг четвертый.

После получения ортодонтических кап лечащий врач назначает прием, на котором помогает пациенту надеть первую пару, объясняет технологию лечения, выдает оставшиеся наборы сменных кап, дает рекомендации по ношении и ежедневному уходу и назначает дату следующего визита. В отличие от брекет-систем, требующих регулярной перетяжки в среднем раз в три-четыре недели, контрольных посещений ортодонта при лечении на Invisalign требуется значительно меньше.

Шаг пятый.

Непосредственное лечение на Инвизилайн занимает примерно столько же, сколько и на брекетах: от полугода до двух лет. Менять каппы нужно примерно раз в две недели, а посещать врача — всего лишь раз в полтора-два месяца. Главное правило и залог успеха — это носить каппы Invisalign не меньше двадцати часов в сутки, снимая их только для приема пищи и ежедневной гигиены. Очищать конструкцию необходимо при помощи замачивания в специальном растворе, который выдается вместе с самими элайнерами, а зубы необходимо чистить как обычно — утром, вечером перед сном и после каждого приема пищи.

Шаг шестой.

По завершении лечения каппами Invisalign и по достижении желаемого результата необходимо в течение некоторого времени носить ретейнеры, дабы закрепить эффект и не дать зубам вернуться в изначальное положение.

Фото до и после лечения на Инвизилайн

С чего начать исправление прикуса элайнерами?

Первым делом следует обратиться в клинику и проконсультироваться с ортодонтом. Только врач может точно сказать, будет ли исправление прикуса элайнерами эффективно в вашем конкретном случае. Перед тем как принять окончательное решение о лечении капами, лучше по возможности выслушать мнение нескольких специалистов, контакты которых часто указывают на сайтах производителей кап. Как правило, у таких ортодонтов есть сертификат о прохождении тренингов/обучения, подтверждающий их профессиональные навыки применения элайнеров.

Элайнеры — это дешево или дорого?

Сколько стоят элайнеры для выравнивания зубов? Средняя стоимость лечения с элайнерами Invisalign в Москве в зависимости от клиники составляет 160 000—300 000 рублей. Далее идут элайнеры ОrthoSnap, минимальная стоимость которых 140 000 рублей. Цена лечения с применением элайнеров Star Smile начинается с 80 000 рублей и доходит до 165 000 рублей в регионах и до 195 000 рублей в столичных клиниках.

Узнавая цену лечения на тех или иных элайнерах, следует сразу же уточнять, включает ли она диагностику и план лечения. Часто клиники озвучивают самую нижнюю планку стоимости, применимую только в простых случаях, которые встречаются очень редко. Также следует поинтересоваться возможностью замены кап в случае их повреждения или потери. Зачастую чрезмерно низкая стоимость прозрачных кап-элайнеров в некоторых клиниках влечет за собой дополнительные расходы, о которых пациента информируют уже в процессе лечения.

Если вы уже решились на лечение, то в случае с некоторыми системами элайнеров, будьте готовы внести предоплату за диагностику и 3D-планирование в размере от 20 000 рублей.

Брекеты и Инвизилайн — что лучше?

Брекеты и Инвизилайн работают одинаково эффективно. Ошибочно полагать, что каппы будут менее результативны, чем традиционные скобы. Если вы решились на прием ортодонта и не можете выбрать между Invisalign и брекетами, запишитесь на консультацию к нескольким специалистам. Однако нужно учитывать, что каждый врач предпочитает работать с той системой, которая ему привычна. По этой причине даже грамотный ортодонт, который не работает с элайнерами, но при этом успешно лечит на классических брекет-системах, может постановить, что ортодонтические капы вам не подходят.

Рейтинг
( 1 оценка, среднее 5 из 5 )
Понравилась статья? Поделиться с друзьями:
Для любых предложений по сайту: mag-stomatolog@cp9.ru