Восстановление культи зуба после лечения корневых каналов

Если зуб разрушен кариесом или в результате травмы – его обязательно нужно восстанавливать, в противном случае зуб можно потерять, а отсутствие даже одной зубной единицы в ряду чревато самыми неприятными последствиями для здоровья. Например, на фоне отсутствия зуба может развиться неправильный прикус, что ведет к нарушению правильного процесса пережевывания пищи и развитию различных заболеваний органов пищеварения.

Если зуб разрушен незначительно, то скорей всего для его реставрации врач применит обычную, светоотверждаемую пломбу. Но если разрушения значительны – будет правильнее использовать культевую вкладку.

Многие люди даже не знают о том, что это за конструкция — культевая вкладка и с какой целью она применяется стоматологами. А между тем применение культевых вкладок позволяет успешно проводить восстановление зубов, которые кажутся на первый взгляд совершенно безнадежными и подлежащими удалению.

В статье мы будем подробно рассказывать вам о том, что же такое культевые вкладки, какие их виды существуют и почему сильно разрушенные зубы лучше всего восстанавливать именно вкладками, а не пломбами и штифтами.

Что такое культевая вкладка и зачем она нужна?

Культевая вкладка — это не пломба и не пломба на штифте. Это специализированная ортопедическая конструкция, которая производится в зуботехнической лаборатории и задействуется для восстановления зубов, разрушенных кариесом или травмой более чем наполовину.

Конечно, даже сильно разрушенный зуб можно отреставрировать пломбой на штифте и затем поставить на него протез. Но такой подход к протезированию будет неправильным, так как большие пломбы пусть и закрепленные на штифтах просто не способны качественно держаться. Нагрузка на зуб рано или поздно приведет к выпадению пломбы на штифте вместе с протезом и тогда зуб придется перелечивать.

Избежать подобных неприятных последствий помогают культевые вкладки — они прочно закрепляются в корневом канале зуба и на них и фиксируется зубная коронка. Внешне вкладки весьма похожи на культи — обточенные зубы – отсюда и их название.

Этапы восстановление культи зуба под коронку

1 Этап. Подготовка культи зуба

Подготовка культи зуба заключается в небольшом препарировании с целью удаления малонадежных фрагментов композитного культевого материала .

После этого по адгезивному протоколу нанесли кислоту на 15 секунд, обильно смыли, оставили поверхость слегка увлажненной и нанесли адгезивную систему.

Я воспользовался адгезивом All Bond 3 (Bisco IL, USA). Это универсальный адгезив двойного отверждения, у него изменена структура полимерной матрицы и он максимально стабилен на дентинной субстанции после полимеризации за счет своей гидрофобности. После подготовки и полимеризации поверхность дентина имеет блестящий вид. Это хорошо.

2 Этап. Подготовка коронки

Внутренняя поверхность коронки покрывается изоляционным материалом. Я применил PRO-V-COAT (BISCO, IL USA)

Этот материал создает абсолютно инертную поверхность, препятствующую фиксации любого композита. Кроме того, он хорошо смывается и изначально предназначался для изоляции поверхности ткани зуба от временного композитного материала в случаях с InLay & Overlay. Но вы можете воспользоваться и глицерином или водорастворимым гелем-любрикантом.


Материалы используемые для адгезивной техники фиксации: Адгезив All Bond 3, праймер для оксида циркония, алюминия и металла Z-PRIMER PLUS, композитный цемент светового отверждения Choise2.


Подготовленная культя зуба к восстановлению


Культя восстановленная по коронке.

Коронка аккуратно снимается с восстановленной культи зуба. Этот процесс сопровождаться легким усилием . Коронка очень четко припасована к восстановленной культе зуба. Применение разделительных жидкостей (в моем случае это PRO-V COAT) позволяет всегда делать эту процедуру предсказуемой.

3 Этап Фиксация коронки на зубе

Я использую адгезивную фиксацию для коронки из оксида алюминия. Для этого внутренняя поверхность коронки из оксида алюминия пескоструится с применение порошка оксида аллюмиия 50 мкр при давлении до 2 атм. под непрямым углом к поверхности .

Обезжиривается в спирте или ацетоне, просушивается . На внутреннюю поверхность коронки наносится праймер для оксида циркония и алюминия Z-PRIMER PLUS ( BISCO ,IL USA) несколько слоев на 30 секунд. Высушивается . Поверхность коронки готова.


Внутрення поверхность каркасной керамики обрабатывается праймером Z-PRIMER PLUS(BISCO, IL)

Вновь созданная культя зуба подвергается адгезивному протоколу: протравливается, наносится адгезив All Bond 3, полимеризуется.

В коронку вносим композитный цемент светового отверждения.

Коронка адаптируется на культе зуба. Излишки цемента подвергаются 2 секундной полимеризации,. убираются с краев коронки и проводится транскоронковая полимеризации с каждой стороны по 30 секунд.

Некоторые комментарии и уточнения по цементу для фиксации зубных коронок:

  1. При работе с металлокерамикой я использую в качестве культевого материала композиты химического или двойного отверждения (Luxa-Core ( DMG), Core-Flo, Bisfill 2B ( Bisco) ).
  2. Поверхность культи зуба при использовании материалов химического или двойного отверждения должна покрываться адгезивными системами совместимыми с такими материалами.

Почему культевые вкладки лучше, чем пломбы и штифты?

Пломбы и штифты применимы только в том случае, если у зуба сохранилось достаточное количество здоровых тканей. Если же от зуба остался только корень или тонкие стеночки — то восстанавливать его штифтом нельзя, так как такая методика реставрации не будет отличаться ни качеством, ни надежностью.

Во-первых, под нагрузкой штифт может сломаться и при этом повредить корень зуба. Травма корня зуба – прямое показание к его удалению, никакие методики при повреждении корневой системы не помогут вам сохранить свой зуб.

Во-вторых, протезы, установленные на большие пломбы и штифты чаще всего, выпадают через какое-то время после проведения протезирования. В этом случае лечение придется проводить заново, а это подразумевает новые и значительные финансовые расходы.

ВАЖНО: Некоторые стоматологи пробуют закрепить выпавшую коронку и штифт на цемент. Но это бесполезно: прочно конструкция держаться не будет, а кроме того – под ней может начаться воспалительный процесс, приводящий к гниению и разрушению зуба.

Поэтому при сильном разрушении зуба только культевая вкладка может дать качественный и долговечный результат протезирования.

Григорьев Александр.

Член SCAD, руководитель учебного . Международный лектор по вопросам адгезии и междисциплинарному восстановлению.

Высокоэстетичные работы из металлокерамики, пресс-керамики и каркасной керамики на оксиде циркония и алюминия—сегодня это состоявшаяся реальность. Навыки и мастерство команды врач-техник создают шедевры, ошеломляющие пациентов своим результатом. Сегодня услуги по эстетической реабилитации способны повышать личный статус пациента, порой менять и судьбу.

Но есть и обратная сторона этого счастья: откол фрагмента керамики, скол винира, расцементровка ортопедической коронки, а порой, еще и с дефектом культи зуба. Мгновения счастья в это момент для нашего пациента останавливаются. Любимая реставрация уже не радует глаз.

На примере одного клинического случая я покажу как можно эффективно и точно провести метод инверсионного (обратного) протезирования.

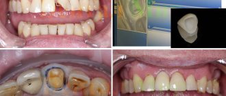
Пациентка М. 35 лет, обратилась в клинику с жалобами на расцементировку коронки из оксида алюминия на 2.1.

Обьективно: коронка имела подвижное положение на культе зуба 2.1 и без усилий извлеклась. Отмечался откол 1/3 культи зуба ( внутренняя часть коронки была заполнена отделившимся фрагментом).


Дефект культи 2.1 зуба

Зуб в прошлом подвергался эндолечению с последующим восстановлением с использование полимерного штифта . Отмечалось полное сохранение полимерного штифта на всем протяжении. Откололась только внутренняя поверхность коронки с фрагментом культевого материала.

Виды культевых вкладок

Перед установкой культевой вкладки обязательно нужно пролечить разрушенный зуб, удалить все поврежденные кариесом ткани, а также обязательно качественно обработать и запломбировать корневые каналы.

ВАЖНО: Лечение корневых каналов — процесс, в котором не должно быть допущено ни малейшей ошибки! Если каналы будут обработаны некачественно или неправильно запломбированы — в них может начаться воспалительный процесс. В нашей стоматологической клинике в Москве — « Firadent» — лечение каналов зуба проводится под микроскопом, позволяющим врачу видеть протяженность и особенности строения каналов и таким образом исключить ошибки в процессе их обработки.

После обработки каналов зуба лечением пациента начинает заниматься стоматолог-ортопед: специалист распломбирует каналы на длину будущей культевой вкладки и снимет слепок для ее изготовления. Как мы уже писали выше — культевые вкладки производятся в зуботехнической лаборатории.

Существует несколько видов культевых вкладок. Классификация вкладок ведется по материалу изготовления и по числу штифтов — креплений, с помощью которых вкладка будет прочно держаться в каналах зуба. Штифтов у вкладки может быть несколько, их количество определяется по числу каналов восстанавливаемого зуба.

По количеству штифтов выделяют следующие виды культевых вкладок:

  • Однокорневые;
  • Двухкорневые разборные и неразборные вкладки;
  • Трехкорневые разборные и неразборные культевые вкладки.

Многокорневые вкладки чаще всего делаются разборными — это упрощает процесс закрепления вкладки в каналах зуба. Но разборные вкладки стоят дороже неразборных конструкций: более высокая цена объясняется высокой сложностью изготовления.

Методики реставрации

Технологии восстановления культи зуба, применяемые в стоматологии, дифференцируются на две категории:

  • Реставрация с использованием специальной конструкции. При малых разрушениях коронки в подобном качестве выступает традиционная керамическая вкладка. Однако применение подобной методики требует дополнительных мер безопасности, предотвращающих разрушение зуба уже после установки;
  • Прямое восстановление. Анкерный штифт в сочетании с реставрационным материалом позволяют восстановить жевательный элемент, а также скорректировать положение сохранившейся части зуба. При этом существует несколько видов материалов, классифицируемых исходя из специфики их отвердевания, что расширяет возможности выбора цветовой гаммы.

Кроме того, при значительных разрушениях коронки допускается использование стеклоиономерного материала, как самостоятельно, так и в сочетании с полимерными композитами. Преимущества – отсутствие токсических реакций, прочность и эстетика, а также возможность корректировки изделия в процессе отвердевания.

Процедура восстановления

Последовательность действий по восстановлению культи включает в себя следующие этапы:

  • Стадия подготовки, в ходе которой шлифуется коронка, расширяется и укрепляется полость канала, а также нарезается резьбовая канва;
  • Фиксация искусственного штифта с использованием цементного состава;
  • После окончательного отвердевания – формирование видимой части конструкции.

Готовая конструкция должна быть защищена от коррозии, учитывать особенности корневой структуры, обладать достаточной прочностью и герметичностью. При этом важно учитывать, что на сохранившуюся корневую часть будет оказываться существенное давление, поэтому установленный штифт должен компенсировать негативные последствия от нагрузки.

Для устранения масштабных повреждений также допускается использование методик, не требующих установки искусственного основания. В качестве альтернативы используется армированная керамика, либо композитный состав на цементной основе. Кроме того, применяются моноблочные литые вкладки, однако практика показывает, что ввиду отсутствия амортизации они, как правило, оказывают негативное влияние на структуру корня.

Материалы изготовления штифтовых культевых вкладок

Культевые штифтовые вкладки могут быть произведены из разных материалов — керамики или же металла. Культевые вкладки со штифтами из металла чаще всего делают из сплава кобальта и хрома и применяют под установку металлических или металлокерамических протезов.

У кобальтохромовых культевых вкладок есть ряд определенных преимуществ:

  • Они имеют хорошие показатели биосовместимости с тканями человеческого тела;
  • Культевые штифтовые вкладки из этого металлосплава достаточно плотно прилегают к естественным тканям и потому при их использовании снижаются риски возникновения кариеса, воспалительных процессов и дальнейшего разрушения зуба;
  • Кобальтохромовый сплав имеет высокую прочность и потому коронка, установленная на штифтовую вкладку из этого материала, не даст усадки при эксплуатации.

Культевые вкладки из кобальтохромового сплава позволяют добиться правильного распределения жевательной нагрузки, что снижает риски трещин и разрушения зуба. К преимуществам вкладок из этого материала можно отнести и их демократичную стоимость.

Керамические штифтовые вкладки используются под установку безметалловых зубных протезов. Это позволяет получить безупречную эстетику восстановленного зуба. Если под керамическую конструкцию поставить металлическую культевую вкладку – она может довольно заметно просвечивать и конечно — это будет портить вид отреставрированного зуба. Поэтому под керамику ставятся только керамические штифтовые вкладки.

Зачем обтачивают зубы

Люди, впервые столкнувшиеся протезированием или микропротезированием, часто находятся в недоумении из-за того, что стоматолог обтачивает или препарирует1 зубы. Зачем это нужно? Все достаточно просто. Любой протез – коронка, винир, мост и т.д., имеет определенную толщину. Конечно, она совсем небольшая, буквально 1-2 миллиметра у коронок, а иногда и доли миллиметра (например, толщина виниров в среднем составляет 0,5 мм). Но ведь и сами зубы не такие уж и большие.

Читайте по теме: что такое обточка и зачем ее проводят перед протезированием.

Поэтому если рассмотреть такую ситуацию, когда протез зафиксируют на необточенный зуб, то из-за своей толщины протезная конструкция будет выдаваться из всего остального ряда – это выглядит некрасиво. А в контактных участках с соседними зубами, коронка или винир просто «не влезет», чем сколет эмаль, будет травмировать десны.

Под коронки и мосты помимо самой обточки важно создать уступ или «плечо» – для этого также используют насадки бормашины, как и для непосредственно обточки. Уступ выглядит как плавный переход, которым верхняя часть культи как бы «перетекает» к внешней границе зубного корня. Кстати, обточенная культя должна напоминать цилиндр, а не конус – так лучше распределяется жевательная нагрузка. Как выглядят обточенные зубы, показано на фото.

Также обточка нужна, чтобы удалить ткани, пораженные кариесом – иначе впоследствии под протезом разовьется инфекционный очаг. А для некоторых видов ортопедических конструкций – в частности для виниров, важно, чтобы поверхность эмали под ними была шероховатая, с бороздками. Так искусственные накладки лучше приклеиваются за счет эффекта адгезии.

Как изготавливаются культевые вкладки: обзор основных этапов

Культевые вкладки изготавливаются в индивидуальном порядке для каждого пациента. Лечение начинается с осмотра пациента и консультации сразу двух специалистов – стоматолога-терапевта и стоматолога-ортопеда.

Перед тем, как с зуба будет снят слепок, по которому будет изготовлена культевая вкладка – обязательно делается качественная санация ротовой полости, а также пролечиваются все диагностированные в ходе осмотра заболевания зубов и десен. Разрушенный зуб пролечивается: из него удаляется нерв (пульпа), а также проводится пломбирование каналов. На этом работа стоматолога-терапевта заканчивается и пациентом начинает заниматься ортопед.

Дальше лечение будет идти по следующей схеме:

  1. Протезист правильно подготовит зуб к установке культевой вкладки и выберет ее вид.
  1. При выборе вида культевой вкладки определяется материал ее изготовления и тип вкладки (однокорневая или многокорневая, литая или разборная культевая вкладка).
  1. Затем врач сделает слепок с челюстей пациента, который передаст в зуботехническую лабораторию, где по снятому слепку будет сделана культевая вкладка.
  1. По слепку сначала делается модель культевой вкладки, а затем уже постоянная конструкция из выбранного материала.
  1. Готовую культевую вкладку зубной техник передает ортопеду.

После того, как культевая вкладка будет готова — пациент приглашается в кабинет протезиста и врач устанавливает культевую вкладку в каналы зуба. На вкладку надевается временный протез и в лечении делается перерыв — до момента изготовления коронки, которую врач зафиксирует на культевой вкладке.

Показания к установке

  • разрушение коронковой части;
  • болезни пародонта (шинирование);
  • дефекты формы, положения единицы, наддесневого участка;
  • нет возможности поставить штифт с пломбой. Например, если разрушились жевательные единицы.

Противопоказания к установке культевой реставрации на штифте

: кариес, кисты, повреждения или отсутствие корней, заболевания десны, пародонта, патологическая подвижность зубного ряда, аллергия на сплавы, из которой сделана конструкция.

Мы предлагаем

:

  • одиночные коронки;
  • виниры, люминиры;
  • мостовидные аппараты;
  • восстановление с опорой на имплантаты;
  • системы с культевой штифтовой системой.

Преимущества и недостатки использования культевых вкладок

Главный плюс культевых штифтовых вкладок — это высокая надежность и долговечность протезирования. Такая конструкция будет прочно держать установленный протез зуба и более того — позволит добиться правильного распределения жевательной нагрузки. При применении штифтовых культевых вкладок риски выпадения коронки сводятся к нулю.

Установка коронок на культевую вкладку и штифт позволяет увеличить сроки полезной службы протеза. Кроме того, культевые вкладки помогают получить идеальную форму зуба, применимы для реставраций зубов передних и жевательных.

Недостатков у применения культевых вкладок всего два – более высокая цена и более длительные сроки протезирования. В среднем на изготовление вкладки уходит около 2-х недель.

ВАЖНО: Качественную многокорневую разборную культевую вкладку способен изготовить только опытный протезист. Поэтому так важно выбрать для своего лечения клинику, в которой работают грамотные и квалифицированные ортопеды и зубные техники, есть своя, хорошо оснащенная зуботехническая лаборатория. Наша стоматология в Москве « Firadent» на 100% отвечает этим условиям: ваше лечение у нас будет проходить с безупречным качеством и комфортом!

Есть ли противопоказания к использованию культевых штифтовых вкладок?

К сожалению, далеко не во всех случаях при протезировании зубов могут быть использованы культевые штифтовые вкладки.

Нельзя использовать культевые вкладки при следующих обстоятельствах:

  • При разрушении зуба ниже уровня десны;
  • При низком качестве пломбирования корневых каналов. В этом случае требуется провести распломбировку каналов, провести их повторную обработку и пломбирование и только после — ставить штифтовую культевую вкладку и коронку;
  • Противопоказанием к применению штифтовой культевой вкладки будет воспалительный процесс в области корня зуба;
  • Аллергия к материалам изготовления культевой вкладки на штифте.

Также вкладки не ставятся на расшатанные и подвижные зубы.

ВАЖНО: В некоторых случаях культевую штифтовую вкладку все же можно установить даже при разрушении зуба ниже уровня десны. Но для этого сначала потребуется дополнительная операция — остеотомия. Суть этой операции заключается в спиливании костной ткани до такой степени, чтобы десна оказалась ниже разрушенного зуба.

Резюме –

Очень часто пациентам приходится сталкиваться со следующей ситуацией… Вы приходите к стоматологу-терапевту с разрушенным зубом. Он рекомендует вам сделать коронку, но сначала необходимо пролечить корневые каналы. Он лечит корневые каналы, вкручивает в корень штифт, восстанавливает коронку разрушенного зуба и отправляет вас к ортопеду. Стоматолог-ортопед смотрит качество пролеченных каналов на рентгене, и говорит, что вместо штифта нужно делать культевую вкладку.

В результате вам приходится снова платить деньги и перелечивать зуб заново – убирать пломбу, выкручивать штифт. Чтобы такого не допустить – необходимо сразу идти на консультацию к стоматологу-ортопеду, который составит план лечения и напишет в медицинской карте для терапевта-стоматолога, что корневые каналы нужно только пролечить, не вкручивая в них штифты, и что далее планируется изготовление культевой вкладки. Надеемся, что наша статья на тему: Что такое вкладка в стоматологии под коронку – оказалась Вам полезной!

Источники:

1. Личный опыт работы врачом-стоматологом, 2. «Ортопедическая стоматология. Учебник» (Трезубов В.Н.), 3. National Library of Medicine (USA), 4. «Ортопедическое лечение несъемными протезами» (Розенштиль С.Ф.).

Уход за зубами после установки культевой вкладки

Сложного специфичного ухода культевые вкладки не требуют. Вам достаточно соблюдать гигиену ротовой полости, регулярно чистить зубы и периодически проходить осмотр стоматолога и процедуру профессиональной гигиены.

Для чистки коронок установленных на зубы с культевыми вкладками лучше всего использовать щетки с мягкой щетиной, также будет полезно ополаскивать рот после каждого приема пищи – специальным бальзамом или же просто чистой водой. При чистке зубов важно очищать их со всех сторон и обязательно качественно прочищать межзубные промежутки. Для этой цели применяются специальные ершики и зубная нить.

Что делать с обточенным зубом, когда сняли протез

Причин, по которым пришлось снять протез, может быть много. Это боль в зубе, подвижность протеза или его поломка, а также завершение срока службы. На лечение, устранение неисправностей или изготовление новой ортопедической конструкции в любом случае будет потрачено время – минимум 1-2 недели. И очень опасно оставлять обточенные зубы, которые раньше были под протезом, открытыми агрессивному воздействию окружающей среды. Край культи может сколоться, поцарапаться, внутрь проникнут микробы, во время еды и чистки зубной щеткой будут травмироваться десны.

Не знаете какой вид протезирования выбрать?

Мы поможем в подборе, посоветуем где почитать больше информации и сравнить виды протезирования. Консультация у врача-ортопеда в клиниках Москвы бесплатно!
Звоните сейчас или заказать звонок

Время работы: с 9:00 до 21:00 — без выходных

Поэтому после лечения (например, устранения кариеса из корней) или наращивания культи нужно поставить временный протез, аналогичный по форме ранее установленному или тому, который пока изготавливается. Как правило, это легкие и быстрые в изготовлении пластмассовые или композитные провизорные протезы. Крепятся они на временный стоматологический цемент, который затем удаляется без остатка.

В некоторых случаях старый винир, коронку или мост можно будет поставить обратно непосредственно в день или через пару дней после обращения в клинику. Но при условии, что с зубом-опорой все в порядке, а сама ортопедическая конструкция не имеет изъянов. Т.е. если она слетела из-за некачественного цемента, например, который полностью удалят в клинике. Тогда временные протезы не устанавливают. Но к обточенному зубу придется относиться очень бережно – не есть и не пить горячее, холодное, жесткое, полоскать рот после каждого приема пищи.

Если сняли винир

Когда снимают сломавшийся или потемневший винир (который невозможно отбелить), то на его место ставят легкий временный винир. Он, также как и постоянный, изготавливается по слепкам. Это даже может быть достаточно прочная временная конструкция, фрезерованная (выточенная) на CAD/CAM-системе. В течение 3-5 дней в лаборатории изготовят новый винир, который затем установят пациенту.

Установка нового винира может и не потребоваться, если пациент этого не хочет. Но при условии, что зуб ранее не подвергался обточке или она была минимальной. Такое возможно, если ставили тончайшие виниры из керамокомпозита или люминиры. Здесь зуб тщательно очистят от старого клеящего состава – аккуратно сошлифуют или удалят ультразвуковым скейлером, а затем проведут курс реминерализации (ремотерапию) для укрепления эмали.

Еще один вариант, если пациент не хочет снова протезироваться винирами – это художественная реставрация пломбой. То есть на поверхность обточенного зуба наращивается слой композитного состава, повторяющего оттенок эмали. Но нужно понимать, что продержится такая реставрация долго при условии, что ранее был обточен совсем небольшой участок эмали. Если на зубе отсутствует более 30% натурального «покрытия», то установленная пломба скоро начнет откалываться. И сам пломбировочный материал более подвержен внешним факторам – красителям, усадке, чем керамика виниров.

Если сняли коронку

После снятия коронки над десной остается небольшой «пенек» – это и есть культя. Если ранее протезированием занимался стоматолог «старой закалки», можно и вовсе обнаружить, что культя очень маленькая – ведь еще 20-30 лет назад под коронки стачивали очень много тканей. И дальнейшее протезирования коронкой может быть сомнительным, т.к. новый протез не выдержит нагрузок и быстро придет в негодность. Поэтому стоматологи часто рекомендуют усилить сохранившийся корень штифтом, а лучше культевой вкладкой. А уже сверху на такой «переходник» поставить новую коронку.

Сразу же приступить к снятию слепков под новую коронку можно в следующих случаях:

  • если опора в порядке (не разрушена, не поражена кариесом): в противном случае придется пройти лечение,
  • в корнях нет трещин и воспаления,
  • костная ткань вокруг корней сохранила объем: этот и предыдущий показатель определяется на рентгеновском снимке или компьютерной томографии челюсти.

«У меня как-то слетела коронка, которая верой и правдой служила лет 8, наверное. Пошла к зубному за новой. Но пришлось полечить и нарастить зуб сначала, потому что его в первый раз так сильно сточили, что сверху очень маленький пенечек остался. И как он не сломался, не понимаю».

Евгения Андреева, отзыв с сайта irecommend.ru

ПЕРЕПРОТЕЗИРОВАНИЕ АКРИЛОВЫМИ ПРОТЕЗОМ — 200 000р.

Перепротезирование акриловым мостовидным протезом на металлическом каркасе (все включено) до 12 единиц. Сэкономить 30 000р.
Звоните сейчас или заказать звонок

Если при снятии коронок обнаружилось, что десна поднялась и помешает установке нового протеза, то проводят небольшую операцию – корректируют уровень десны (и иногда альвеолярного отростка тоже). После пластики за 3-4 недели ткани заживают, десневой уровень становится эстетичным, а далее можно снимать слепки и делать новый протез.

Если сняли мост

После снятия мостовидного протеза также важно определить состояние зубов-опор – способны ли они выдержать новый мост или нужно их удалить. Если опоры здоровы или их можно вылечить, укрепить штифтами / вкладками, то далее можно приступать к снятию оттисков и созданию нового моста.

Есть еще такой нюанс, как состояние десневого уровня – часто под коронками моста он становится неровным, понижается. Это говорит о том, что в тех местах челюсти, где зубные корни удалены давно, уже атрофировалась кость (т.е. просела). А вместе с ней «ушла» и десна. Чтобы скрыть неровный контур, новый мост иногда дополняют искусственной десной или предварительно наращивают кость и корректируют десневой край. Но нужно понимать, что новый корень сам по себе в челюсти не появится, т.е. со временем кость под мостовидным протезом опять просядет.

Цены на культевые вкладки

Сколько же стоит культевая вкладка? Цены на культевые вкладки могут весьма разнится: основное влияние на стоимость конструкции будет оказывать материал ее изготовления. Самый бюджетный вариант — металлические культевые вкладки. Простая неразборная (литая) культевая вкладка из металла стоит около 5000 рублей. Чуть дороже будет стоить разборная многокорневая металлическая культевая вкладка — от 6000 рублей и выше.

Наиболее высокую цену имеют культевые вкладки из керамики и циркония. Их стоимость начинается от суммы в 8000 рублей.

ВАЖНО: В цену изготовления культевой вкладки не входит стоимость установки коронки! Лечение зуба, пломбирование каналов, изготовление и установка коронки оплачиваются отдельно!

Что выбрать при протезировании — восстановление зуба культевой вкладкой или пломбой?

Что выбрать при установке коронки — восстановление зуба культевой вкладкой или пломбой? Такой вопрос часто задают врачам пациенты, решившие заняться восстановлением своих зубов. На этот вопрос ответить можно так: если ваш зуб сильно разрушен, и вы хотите, чтобы установленная коронка прослужила вам максимально долго – правильнее выбрать не пломбу, а культевую вкладку.

Да, протезирование с культевой вкладкой выйдет дороже установки коронки на обычную пломбу, но все расходы окупят себя долгим сроком полезной службы протеза и высоким качеством протезирования. Культевые вкладки позволяют сохранить и успешно восстановить даже самые безнадежные зубы!

Если у вас остались вопросы по культевым вкладкам, вы хотите узнать их точную стоимость и выяснить возможность применения культевой вкладки в вашем случае — приходите на прием к специалистам в нашу стоматологическую клинику в Москве -«Firadent»! Мы будем рады помочь вам приобрести новую красивую улыбку со здоровыми зубами!

Содержимое

  • Показания для восстановления культи
  • Формирование культи зуба
  • Протезирование зубов
  • Уход после установки коронок

Культя зуба – уменьшенный вариант зуба, на который впоследствии фиксируется коронка. Если собственных тканей зуба достаточно, культя без затруднений формируется методом препарирования. Если же естественного материала не достаточно, необходимо проведение восстановления культи под протез. Сделать это можно несколькими способами.

АКЦИЯ

Установка коронок, зубного моста

3 450 р.

Рейтинг
( 2 оценки, среднее 4 из 5 )
Понравилась статья? Поделиться с друзьями:
Для любых предложений по сайту: mag-stomatolog@cp9.ru