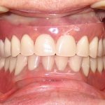
Photos of E-max veneers
To create a perfect smile, whitening your teeth is not enough - they are not naturally
macroglossia
The diagnosis of macroglossia is made if the tongue becomes excessively enlarged and thickened. With macroglossia this
Photo of root canal treatment
Microscope - luxury or necessity? Harry Kahr, the first to use a microscope in dental treatment, briefly
There are so many different myths about what the colored stripes on toothpaste tubes mean.
Squeezing toothpaste onto a brush
The use of therapeutic toothpastes for bleeding gums is a prerequisite for daily oral care.
Porcelain crown
Indications for installation Manufacturing process Advantages and disadvantages Care Porcelain crowns are particularly aesthetically pleasing
Development of teeth in the embryonic period and after birth At the 6-7th week of embryogenesis, the first
Before and after orthognathic surgery in pictures
When surgical help is needed for bite problems, specialists resort to surgical intervention when
which crowns are better to choose
Types For chewing teeth For front teeth Comparison How to choose a clinic? Jobs Doctors When
What drainage looks like after tooth extraction - photo
Dental drainage: what is it, what does it look like? What is dental drainage? Translated from English
For any suggestions regarding the site: [email protected]
Russian | English
Для любых предложений по сайту: mag-stomatolog@cp9.ru