Брекет-система
На прием к ортодонту записываются люди, принявшие решение избавиться от определенного зубочелюстного дефекта, снижающего
Депульпирование зуба, или удаление нерва зуба — важный этап при лечении стоматологических патологий. Основная
Когда будет можно снять брекеты с зубов? Для изменения положения зубов в ряду брекеты
Наружные брекеты являются одним из основных (пока) на сегодняшних дней способов исправления прикуса у взрослых.
Многих людей, которые мечтают о ровных зубах и красивой улыбке, от установки брекетов удерживает
Почему после удаления зуба нельзя пить алкоголь
Можно ли пить алкоголь после удаления зуба Содержание: Можно ли употреблять алкоголь после удаления
Из этой статьи Вы узнаете: лечение десен аппаратом Вектор – отзывы практикующего пародонтолога, аппарат
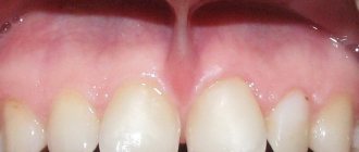
Эластичные складки слизистой оболочки ротовой полости, соединяющие губы с челюстью, называются уздечками. Таких перемычек
Можно ли пить кофе после удаления зуба
Удаление зуба у взрослых людей – это хирургическая операция, пусть и небольшая. И врачи
Показания к удалению молочных зубов У детей в возрасте 6-7 лет начинается процесс естественной
Удаление зубов
18 августа 2017 Удаление зубов – процедура неприятная, болезненная и даже устрашающая. Но так
Для любых предложений по сайту: mag-stomatolog@cp9.ru